Lietuvos chirurgija ISSN 1392–0995 eISSN 1648–9942
2022, vol. 21(1), pp. 56–64 DOI: https://doi.org/10.15388/LietChirur.2022.21.58
Gabrielė Cibulskaitė
Medicinos fakultetas, Vilniaus universitetas, Vilnius, Lietuva
Faculty of Medicine, Vilnius University, Vilnius, Lithuania
El. paštas gabriele.cibulskaite@mf.stud.vu.lt
Rokas Stulpinas
Medicinos fakultetas, Vilniaus universitetas, Vilnius, Lietuva
Faculty of Medicine, Vilnius University, Vilnius, Lithuania
Valstybinis patologijos centras, Vilniaus universiteto ligoninės Santaros klinikų filialas, Vilnius, Lietuva
National Center of Pathology, Affiliate of Vilnius University Hospital Santaros Klinikos, Vilnius, Lithuania
El. paštas rokas.stulpinas@vpc.lt
Eligijus Poškus
Medicinos fakultetas, Vilniaus universitetas, Vilnius, Lietuva
Faculty of Medicine, Vilnius University, Vilnius, Lithuania
Vilniaus universiteto ligoninė Santaros klinikos, Vilnius, Lietuva
Vilnius University Hospital Santaros Klinikos, Vilnius, Lithuania
El. paštas eligijus.poskus@santa.lt
Skaistė Tulytė
Medicinos fakultetas, Vilniaus universitetas, Vilnius, Lietuva
Faculty of Medicine, Vilnius University, Vilnius, Lithuania
Vilniaus universiteto ligoninė Santaros klinikos, Vilnius, Lietuva
Vilnius University Hospital Santaros Klinikos, Vilnius, Lithuania
El. paštas skaiste.tulyte@santa.lt
Ugnius Mickys
Valstybinis patologijos centras, Vilniaus universiteto ligoninės Santaros klinikų filialas, Vilnius, Lietuva
National Center of Pathology, Affiliate of Vilnius University Hospital Santaros Klinikos, Vilnius, Lithuania
El. paštas ugnius.mickys@vpc.lt
Santrauka. Remiantis penktojo leidimo 2019 m. Pasaulio sveikatos organizacijos klasifikatoriumi, MiNEN (mišrūs neuroendokrininiai ir neneuroendokrininiai navikai) apibūdinami kaip mišrios neoplazijos, sudarytos iš neuroendokrininio ir neneuroendokrininio komponentų, kurių kiekvienas sudaro ne mažiau kaip 30 proc. naviko. Šis kriterijus kritikuojamas, atsižvelgiant į adenokarcinomų ir neuroendokrininių storosios žarnos navikų bendros kilmės teoriją: teigiama, kad adenokarcinomos evoliucijos eigoje, kaupiantis molekulinėms ir genetinėms pažaidoms, neneuroendokrininės ląstelės įgavo neuroendokrininį fenotipą, todėl egzistuojantis adenokarcinomos komponentas gali būti sunkiai nustatomas arba visiškai neidentifikuojamas patologijos tyrimo metu. Tikėtina, kad bent dalis didelių ląstelių neuroendokrininių karcinomų taip pat yra šio onkogenezės kelio rezultatas; tai suponuoja adenokarcinomoms artimas minėtų navikų molekulinis profilis. Taigi tikslinga identifikuoti ir įvardyti visus kombinuotą naviką sudarančius komponentus, nepaisant šių komponentų dydžio, nes jie gali būti reikšmingi parenkant individualią gydymo strategiją.
Minėtam principui iliustruoti straipsnyje pristatomas kolorektalinio naviko atvejis: navikas formaliai turėtų būti kategorizuotas kaip blogai diferencijuota neuroendokrininė karcinoma, tačiau dėl savo histologinio heterogeniškumo, identifikuojamos minimalios mucinų produkcijos ir KRAS mutacijos jis artimesnis MiNEN. Straipsnyje aptariami MiNEN klasifikacijos, patogenezės ir diagnostikos klausimai bei jų reikšmė gydymui ir prognozei.
Reikšminiai žodžiai: mišrus neuroendokrininis ir neneuroendokrininis navikas, MiNEN, mišri adenoneuroendokrininė karcinoma, MANEC, didelių ląstelių neuroendokrininė karcinoma, kolorektalinis navikas.
Summary. MiNEN (mixed neuroendocrine-non-neuroendocrine neoplasm) is described in the 5th edition WHO classification of tumors of the digestive system as a mixed neoplasm, composed of neuroendocrine and non-neuroendocrine parts, each accounting for at least 30% of the tumor. Recently this formal criterion has been criticized based on the theory that both of these components could have a monoclonal origin and non-neuroendocrine cells develop neuroendocrinicity in the later evolutionary steps of adenocarcinoma. For this reason, the identification of pure adenocarcinoma component, that was overgrown by a more aggressive clone with neuroendocrine features, in a pathological specimen can be difficult and, in some cases, even impossible. So, it is likely that at least some of large cell neuroendocrine carcinomas follow the same pathway, a theory that is further supported by adenocarcinoma-like molecular alterations in these tumors. Precise diagnosis (which means identifying and naming each tumor component regardless of its size) is essential for a personalized treatment strategy. We present an illustrative case of a rectal neoplasm that could be classified as a poorly differentiated neuroendocrine carcinoma, but exhibits morphological heterogeneity, mucin production and has a typical KRAS mutation pointing to adenocarcinomatous origin, which makes MiNEN a more accurate diagnosis. The article discusses the key points in classification, pathogenesis, and diagnostic approach to help effectively manage such neoplasms.
Key words: mixed neuroendocrine non-neuroendocrine neoplasm, MiNEN, mixed adeno-neuroendocrine carcinoma MANEC, large cell neuroendocrine carcinoma, colorectal neoplasm.
Received: 2022/01/18. Accepted: 2022/02/15.
Copyright © 2022 Gabrielė Cibulskaitė, Rokas Stulpinas, Eligijus Poškus, Skaistė Tulytė, Ugnius Mickys. Published by Vilnius University Press. This is an Open Access article distributed under the terms of the Creative Commons Attribution Licence, which permits unrestricted use, distribution, and reproduction in any medium, provided the original author and source are credited.
Kolorektaliniai MiNEN (mišrūs neuroendokrininiai ir neneuroendokrininiai navikai, turintys ne mažiau kaip 30 proc. kiekvieno iš komponentų) apibūdinami kaip reti, biologiškai agresyvūs, prastos prognozės navikai, dažnai diagnozuojami esant pažengusiai stadijai [1]. Dėl jų retumo didžiąją kolorektalinius MiNEN analizuojančios mokslinės literatūros dalį sudaro klinikinių atvejų aprašymai ir nedideli retrospektyviniai tyrimai, o galimybę geriau suvokti šią patologiją ir apibendrinti informaciją sunkina besikeičianti terminologija bei tvirto mokslinio pagrindo neturinčios komponentų santykio ribos, todėl kol kas nėra visuotinai priimtų bendrų gairių aptariamos patologijos epidemiologijai, patogenezei, gydymui ir prognozei apibūdinti. Straipsnyje pristatomas storosios žarnos naviko, kuriam būdingas mišrus adenoneuroendokrininis fenotipas, atvejis ir diskusija terminologijos, patogenezės ir diagnostikos klausimais.
66 m. pacientas kreipėsi į gydymo įstaigą dėl pusę metų trunkančio išangės skausmo, dažno ir neproduktyvaus tuštinimosi. Kolonoskopijos metu aptikus tumorą tiesiojoje žarnoje ir ištyrus biopsinę medžiagą, navikas dėl difuzinės neuroendokrininių žymenų raiškos įvardytas kaip blogai diferencijuota (G3) neuroendokrininė karcinoma. Prieš taikant gydymą taip pat atliktas MRT (magnetinio rezonanso tomografijos) tyrimas, nustatyti tiesiosios žarnos naviko židiniai apatiniame ir viduriniame žarnos trečdalyje. Darinių radiologiniai morfologiniai požymiai skyrėsi, buvo spėjama esant skirtingą histologiją ar piktybiškumo laipsnį. Remiantis TNM, navikas T4bN1C radiologinės stadijos, jam būdinga ekstramuralinė venų invazija ir metastazės paraaortiniuose, aortokavaliniuose limfmazgiuose. Atvejis įvertintas multidisciplininiame aptarime: esant neuroendokrininam navikui, neoadjuvantinis chemospindulinis gydymas netaikomas, todėl, atsižvelgus į reikšmingą diskomfortą dėl obturuojamo spindžio, atlikta abdominoperinealinė tiesiosios žarnos rezekcija, kolostomija ir perinealinis drenažas.
Operacijos metu rezekuotas 30 cm ilgio riestinės ir tiesiosios storosios žarnos fragmentas su išange. Atliekant makroskopinį tyrimą, rastas išopėjęs rusvas, standus 7,0×4,5×3,0 cm dydžio navikas, kuriam būdinga dalinė nekrozė, peraugęs visus žarnos sienelės sluoksnius ir plintantis perikoliniame riebaliniame audinyje. Distaliau pagrindinio naviko nustatytas antras standus 5,0×3,0×3,0 cm dydžio židinys, apimantis riebalinį audinį, raumeninį sluoksnį ir pogleivį.
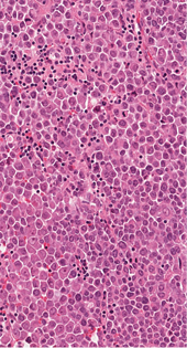
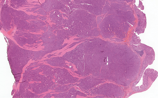
1 pav. Visą storosios žarnos sieną stambiais solidiniais mazgais infiltruojantis navikas (HE 10X)
A
B
C 
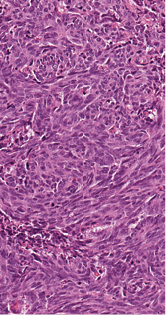
2 pav. Trys naviko komponentai: solidiniai epiteioidinių ląstelių lizdai, kuriems būdingos pavienės spindžius primenančios struktūros (A), pluoštais besidėstančios šeivinės ląstelės (B) ir diskohezyvios „rabdoidinės“ ląstelės, turinčios ekscentrišką citoplazmą (C)
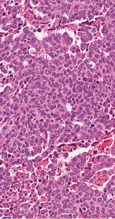
Mikroskopiniuose preparatuose (1 pav.) matyti infiltratyviai žarnoje plintantis navikas, sudarytas iš trabekulinų, lizdinių ir solidinių struktūrų su pavieniais likutiniais spindžiais, kurias formuoja mišri ląstelių populiacija (2 pav.): dominuoja epitelioidinės kohezyvios ląstelės (apie 40 proc. naviko), pasižyminčios negausia ir vidutinio gausumo eozinofiliška citoplazma, smulkaus ir stambesnio kalibro centruotais, ovaliais arba nelygaus kontūro, polimorfiškais branduoliais. Šeivinės ląstelės sudaro apie 30 proc. naviko, ląstelių citoplazma vidutinio gausumo, eozinofiliška, ląstelėse ištęsti vidutinio kalibro branduoliai. Likusią dalį (apie 30 proc. naviko) sudaro diskohezyvios rabdoidinės išvaizdos ląstelės periferizuotais branduoliais ir ryškiomis nukleolėmis, ekscentriška citoplazma ir eozinofiliniais intracitoplazminiais inkliuzais. Matyti gausios mitozės (40/2 mm2), nekrozės iki 10 proc. naviko tūrio, granuliacinis audinys išopėjusiame paviršiuje. Identifikuotas perineurinis naviko plitimas ir intravaskulinė (smulkių šakų ir intraveninė) invazija; naviko struktūros siekė cirkuliarų rezekcijos kraštą. Antrąjį židinį formavo analogiškos to paties naviko struktūros su negausiu likutiniu limfoidiniu audiniu periferijoje (tikėtina metastazė pasaito limfmazgyje, ekstranodaliai plintanti į žarnos sieną).
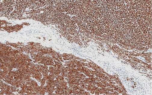
3 pav. Pancitokeratinų ekspresija visame navike ir ryškėjanti diskohezija „rabdoidiniame“ komponente (viršuje, dešinėje pusėje)
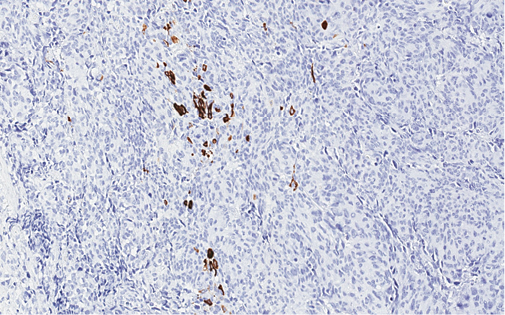
4 pav. Tik imunohistocheminiais metodais (MUC2) identifikuojama abortyvi mucinų produkcija pavienėse naviko ląstelėse
Imunohistocheminio profiliavimo metu nustatyta stipri difuzinė PanCK reakcija visuose komponentuose (3 pav.) ir menka, tačiau definityvi MUC2 žarninio tipo mucinų produkcija (4 pav.) kartu su tipiška KRAS geno 12-o kodono mutacija 2-ame egzone leistų klasifikuoti naviką kaip aukšto laipsnio (blogai diferencijuotą) adenokarcinomą. Ieškant biologinio pagrindo neįprastai naviko morfologijai paaiškinti atliktos papildomos imunohistocheminės reakcijos: Hep-Par1 (neigiama), INI1 (praradimo nėra), BRAF (neigiamas, tikėtina, nemutuotas), PMS2 ir MSH6 (reakcija išlikusi, nėra mikrosatelitų nestabilumo audinyje požymių), visose naviko ląstelių populiacijose patvirtintas jau biopsijoje identifikuotas difuzinis neuroendokrininis fenotipas (100 % Synaptophysin ir 95 % Chromogranin A ekspresija (5 pav.)). Ki67 proliferacinis aktyvumas buvo heterogeniškas ir rabdoidinės išvaizdos komponente siekė 90 proc., o likusiuose buvo perpus žemesnis (6 pav.).
Siekiant atspindėti neįprastą išvaizdą ir kombinuotą fenotipą, suformuluota diagnozė: storosios (tiesiosios) žarnos blogai diferencijuota (G3 / KRAS mutuota / MSS) karcinoma, kuriai būdinga dominuojanti neuroendokrininė diferenciacija ir menka likutinė mucinų produkcija. Pridėtas komentaras, kad navikas, nepaisant formaliųjų kriterijų, vis dėlto artimesnis MiNEN. Po mėnesio MRT nustatytas naviko plitimas klubiniuose, obturatoriniuose, dešiniosios kirkšnies limfmazgiuose, presakraliniuose audiniuose, pastebėta masyvi infiltracija į sėklines pūsleles ir prostatą. Paskirtas sisteminis gydymas ciplatina ir etopozidu, realizuoti keturi kursai, tačiau liga toliau progresavo, naujų metastazių nustatyta krūtinės ląstos sienoje, tarpuplautyje, pilvo ertmėje, retroperitoniniame tarpe, kepenyse. Po ketvirto chemoterapijos kurso kontaktas su pacientu nutrūko. Remiantis prieinama informacija daroma prielaida, kad pacientas mirė.
1
2 
5 pav. Stipri difuzinė neuroendokrininių žymenų Synaptophysin (1)ir Chromogranin A (2) ekspresija visuose naviko komponentuose
1
2 
6 pav. Ki67 proliferacinio aktyvumo variacija tarp naviko komponentų, liudijanti fenotipinių skirtumų biologinį pagrindą: 1 – Epitelioidinis ir šeivinis komponentai; 2 – Rabdoidinis komponentas
Atsižvelgiant į tai, kad ne mažiau kaip 95 proc. naviko turi imunohistochemiškai patvirtintą neuroendokrininį fenotipą, labai aukštą Ki67 proliferacinį aktyvumą (iki 90 proc.), gausu mitozių (>20 per 10 DPL), vyrauja solidinis piešinys, o adenokarcinomos komponentas yra minimalus (formaliai mažiau negu 30 proc.), remiantis penktojo leidimo 2019 m. PSO virškinimo sistemos navikų klasifikacija, šį naviką rekomenduotina kategorizuoti kaip blogai diferencijuotą neuroendokrininę karcinomą (turinčią mažąjį adenokarcinomos komponentą) [2]. Vis dėlto aprašomas navikas neturi nei smulkialąstelinės (hiperchromiški kampuoti branduoliai, smulkiai grūdėtas chromatinas, menka citoplazma, traiškymo artefaktai), nei didelių ląstelių (organoidinė architektūra, didelės ląstelės apvaliais branduoliais, ryškios nukleolės, gausi eozinofilinė citoplazma) neuroendokrininės karcinomos morfologinių bruožų [3, 4]. Pabrėžtina, kad identifikuota kolorektalinėms adenokarcinomoms tipiška KRAS geno 12-o kodono mutacija 2-ame egzone, stebima mucinų produkcija ir retos liaukas primenančios struktūros yra neišreikšti, tačiau neabejotini adenokarcinomos požymiai. Turint omenyje galimą bendrą neuroendokrininių ir adenokarcinomų onkogenezės kelią ir atsižvelgiant į 30 proc. kriterijaus sąlygiškumą, nuspręsta naviką priskirti prie mišrių neuroendokrininių ir neneuroendokrininių navikų grupės, amfikrininio tipo, nors šis ir neatitinka dabartinių formalių neuroendokrininių neoplazijų klasifikacinių kriterijų. MiNEN sąvoką PSO įvedė ketvirtojo leidimo 2017 m. endokrininės sistemos navikų klasifikatoriuje mišriems adenoneuroendokrininiams (2010–2017 m. vadintiems MANEC, mišri adenoneuroendokrininė karcinoma) kasos navikams apibūdinti, atkreipiant dėmesį į tai, kad neneuroendokrininį komponentą gali sudaryti ne tik adenokarcinoma. 2019 m. PSO išplėtė MiNEN sąvoką, taikydama ją navikams, kylantiems bet kurioje virškinimo sistemos dalyje [5]. Remiantis minėta klasifikacija, MiNEN traktuotini kaip mišrios neoplazijos, sudarytos iš neuroendokrininio ir neneuroendokrininio (adenomos, adenokarcinomos, retai –plokščialąstelinio ar sarkomatoidinio) komponentų, iš kurių kiekvienas sudaro ne mažiau kaip 30 proc. naviko [5, 6].
Įvairių dydžių neuroendokrininiai komponentai virškinimo trakto adenomose ar adenokarcinomose yra gana dažnas radinys. Pasitelkiant imunohistocheminius tyrimo metodus, gali būti nustatomas platus egzokrininio ir neuroendokrininio komponento kombinacijų spektras, pradedant adenokarcinomomis, kurioms būdinga pavienės išsibarsčiusios neuroendokrininės ląstelės, baigiant neuroendokrininiais navikais, turinčiais ribotą egzokrininį židinį [5–7]. Ne visi atvejai gali būti priskiriami MiNEN kategorijai, jei formaliai sekama 30 proc. riba, kuri vis dėlto nubrėžta arbitraliai ir neturi aiškaus biologinio pagrindo. Morfologiškai šie navikai gali būti koliziniai, sudėtiniai ir amfikrininiai. Kolizinius MiNEN sudaro dvi atskiros nesimaišančios ląstelių populiacijos, neturinčios pereinamosios zonos. Sudėtiniuose MiNEN skirtini tarpusavyje besimaišantys skirtingi komponentai arba vienas ribotas židinys kitame dominuojančiame komponente. Amfikrininius MiNEN sudaro viena ląstelių populiacija, kuriai būdingos ir neuroendokrininės, ir egzokrininės savybės [6]. Dažniausiai amfikrininiai navikai siejami su adenokarcinomos ir neuroendokrininiu fenotipais, taigi ląstelių citoplazmoje galima rasti ir sekrecinių neuroendokrininių granulių, ir mucinų sankaupų [6, 7]. Kai navikas blogai diferencijuotas, gali būti sudėtinga morfologiškai atskirti jį sudarančius komponentus, todėl pasitelkiama imunohistochemija. Neuroendokrininė ląstelių kilmė patvirtinama standartiniais žymenimis: Synaptophysin, INSM1 dažniausiai yra ryškiai ekspresuojami, o Chromogranin A raiška gali būti minimali arba židininė [4]. Jei nėra nuodugniai tiriamas visas pašalintas darinys, vienas iš komponentų gali likti nepastebėtas arba jo dydis procentais gali nesiekti ribos, reikiamos MiNEN diagnozuoti. Tai gali būti viena iš priežasčių, lemiančių nedidelį šių diagnozių dažnį.
Tikslus MiNEN patogenezės mechanizmas vis dar nežinomas. Nėra vienos teorijos, galinčios paaiškinti skirtingų morfologinių variantų atsiradimą. Viena iš teorijų teigia, kad neuroendokrininis ir neneuroendokrininis komponentai išsivysto nepriklausomais keliais iš skirtingų prekursorinių ląstelių (taip galima pagrįsti kolizinių MiNEN kilmę). Teigiama, kad abu MiNEN komponentai, nepaisant jų morfologinės išvaizdos, yra monokloninės kilmės, todėl koliziniai navikai apskritai yra atskira navikų kategorija ir neturi būti priskiriami šiai grupei [4]. Remiantis šia teorija, minėti komponentai išsivysto iš vienos progenitorinės pliuripotentinės kamieninės ląstelės, kuri gali įgyti vieno arba kito tipo diferenciaciją vystantis naviko karcinogenezei. Monokloninė naviko kilmė grindžiama teigiant, kad neuroendokrininę diferenciaciją įgyja neneuroendokrininės ląstelės, adenomos ir adenokarcinomos evoliucijos metu kaupiantis specifinėms molekulinėms ir genetinėms pažaidoms [5, 7, 8]. Ši teorija aiškiausia kalbant apie amfikrininio tipo MiNEN, tačiau ne itin akivaizdi sudėtinių MiNEN atveju [7].
2019 m. PSO virškinimo trakto navikų klasifikatoriuje blogai diferencijuotos neuroendokrininės karcinomos kaip ir anksčiau skirstomos tik į smulkialąstelinį ir didelių ląstelių variantus. Smulkialąstelinė neuroendokrininė karcinoma (NEK) pasižymi specifine išvaizda ir RB1 bei TP53 inaktyvuojančių mutacijų kombinacija. Didelių ląstelių NEK yra tiek morfologiškai, tiek genetiškai heterogeniška grupė, kuriai tenka priskirti kitur netinkančius navikus. Dalis didelių ląstelių NEK pagal vyraujančius genetinius požymius gali būti panašios į smulkių ląstelių karcinomą (tačiau netipiškos išvaizdos) ar gerai diferencijuotus neuroendokrininius navikus (NET). Įdomu tai, kad likusiems šios grupės navikams tokios mutacijos nebūdingos, tačiau dažnai nustatomas adenokarcinomą primenantis molekulinis profilis [9]. Nustatyta, kad genetiniai visų storosios žarnos NEK pokyčiai artimesni kolorektalinėms adenokarcinomoms, o ne gerai diferencijuotiems neuroendokrininiams navikams (NET) ar „klasikinėms“ plaučių smulkių ląstelių NEK. Dažniausia somatinė mutacija, aptinkama tiek kolorektaliniais NEK pavadintuose navikuose, tiek adenokarcinomose, yra KRAS, kuri gali būti potencialus gydymo taikinys [10]. Detaliau ištyrus kolorektalinių neuroendokrininių karcinomų genetinį profilį, matyti, kad su adenokarcinoma asocijuojamų mutacijų (APC, KRAS, BRAF, TP53) dažnis neuroendokrininėse karcinomose yra dar didesnis negu MiNEN. Tai rodo, kad abiejų grupių navikai nėra itin skirtingi, juos sieja adenokarcinomoms giminingas kancerogenezės kelias [11]. M. Jesinghausas ir bendraautoriai [11] atliko tyrimą, kurio metu 19 MANEC (MiNEN) navikų ir 8 neuroendokrinininės karcinomos tirti naujos kartos sekoskaitos metodu, ieškant 32 genų pažaidų, susijusių su kancerogeneze. 84 proc. navikų turėjo bent vieną somatinę mutaciją, net 11 proc. pasižymėjo mikrosatelitų nestabilumu [11, 12]. Palyginti su adenokarcinomomis, kolorektalinėse NEK nustatytas didesnis dažnis BRAF (37 %) ir mažesnis dažnis KRAS (21 %) bei APC (16 %) mutacijų, visai nerasta „klasikinėms“ smulkialąstelinėms neuroendokrininėms karcinomoms būdingų RB1 ar RET pažaidų [11, 12]. Kitų autorių, tyrusių mišrius storosios žarnos navikus, duomenimis, 60 proc. visų KRAS mutacijų nustatoma 12 arba 13 KRAS geno 2 egzono kodonuose, o nustatoma mutacija identiška tiek liaukiniame, tiek neuroendokrininiame komponentuose [12, 13]. Šie radiniai patvirtina bendro klono hipotezę. Jau nustatyta, kad virškinamojo trakto endokrininės ir kitos epitelinės ląstelės formuojasi iš tų pačių endoderminių kamieninių ląstelių šaltinio [14, 15], tai reiškia, kad šios ląstelės geba diferencijuotis tiek endokrinine, tiek egzokrinine kryptimi. Bifenotipinės diferenciacijos egzistavimą įrodo ir pabiros neuroendokrininės ląstelės adenomose (randama iki 59–76 proc.) – pirminis navikinis klonas gali išsivystyti ir į adenomatozines, ir į neuroendokrinines ląsteles [15, 16]. Straipsnyje aprašytu klinikiniu atveju nustatyta KRAS geno 12-o kodono mutacija 2-ame egzone yra vienas iš argumentų, lemiančių MiNEN, o ne NEK diagnozę. Tai, kad abiejų tipų navikams būdingos bendros pirminiam klonui specifinės mutacijos, nustatoma kur kas daugiau naujų individualių genetinių pokyčių, todėl galima daryti prielaidą, kad neuroendokrininis ir liaukinis komponentai atsiskiria nuo pirminio naviko ankstyvame vystymosi etape [13]. Dėl šios priežasties adenokarcinomos komponentas gali būti nustelbtas ir neidentifikuotas net nuosekliai ištyrus visą pašalintą naviką [17]. Minėtina, kad kolorektalinės adenokarcinomos dažnai įgyja neuroendokrininių žymenų atlikus adjuvantinę chemoterapiją ar radioterapiją. Tokie navikai neturi būti priskiriami MiNEN grupei, jei diagnozė nebuvo patvirtinta prieš taikant sisteminį gydymą [2].
Vis dar taikoma 30 proc. riba pasirinkta argumentuojant, kad nedidelis neuroendokrininis komponentas adenokarcinomoje tikriausiai neturi įtakos ligos prognozei [4]. Naujas klasifikacijos metodas, paremtas bendra abiejų naviko komponentų molekuline kilme, leistų nebetaikyti šio kriterijaus, kai subtipai navike atpažįstami morfologiškai ir kilę iš giminingo ląstelių klono. Tokio pobūdžio klasifikacija naudojama plaučių navikų diagnozei sudaryti, o navikas apibrėžiamas kaip mišrus, nepriklausomai nuo jį sudarančių komponentų dydžio [4]. Visų komponentų identifikavimas patologijos tyrimo metu ir jų aprašymas diagnozuojant yra būtinas tiek siekiant pritaikyti tinkamą ligos gydymo strategiją, tiek stengiantis išvengti klaidingos antro naviko diagnozės ateityje (pavyzdžiui, jei metastazėje ar recidyve liktų tik mažasis komponentas). Kol kas nėra sukurta gairių, kurios būtų specifiškos MiNEN gydyti, klinikinėje praktikoje taikoma pirminio naviko ir metastazių rezekcija (vis dėlto operacinio gydymo tikslingumas turi būti pasvertas tiek R0 rezektabilumo, tiek ligonio gyvenimo kokybės prasme) bei adjuvantinė chemoterapija [18]. Dėl blogai diferencijuoto neuroendokrininio komponento biologinio agresyvumo asmenų, kuriems nustatoma mišraus naviko diagnozė, išgyvenamumas statistiškai reikšmingai prastesnis, palyginti su pacientais, kuriems buvo diagnozuota adenokarcinoma [19]. Dėl šios priežasties rekomenduojama adjuvantinį gydymą skirti atsižvelgiant į neuroendokrininį komponentą, pirmos eilės chemoterapijai renkantis vaistus platinos pagrindu. Minėtina, kad straipsnyje aprašytu klinikiniu atveju, remiantis neuroendokrininių navikų gydymo algoritmu, pacientui buvo skirta cisplatinos ir etopozido kombinacija, tačiau liga progresavo. Bet kokia chemoterapija, kurios taikinys yra vienas iš skirtingų naviko subtipų, galimai bus tik iš dalies veiksminga, todėl MiNEN gydymas yra komplikuotas ir turi būti parenkamas itin atidžiai. Ypač svarbu detaliai charakterizuoti naviką [18].
Kolorektaliniai MiNEN (kartu, galima manyti, ir dalis tos pačios kilmės didelių ląstelių NEK) yra heterogeniška retų, agresyvių, tačiau kol kas per mažai ištirtų navikų kategorija, apimanti platų morfologinių ir genetinių pokyčių spektrą. Nuolat besikeičianti terminologija ir skirtingos galimos patogenezės teorijos lemia mokslinės literatūros neapibrėžtumą, tačiau domėjimasis šiais navikais išlieka, o nauji tyrimai, nagrinėjantys molekulinius ir genetinius MiNEN pokyčius, sudaro sąlygas kurti naujas tikslingas gydymo strategijas. Vis dėlto kol kas vienų MiNEN gydymo gairių nėra, todėl būtina tiksliai charakterizuoti visus įmanomus komponentus ir pritaikyti gydymą atsižvelgiant į kiekvieną individualų atvejį.
1. Silva DJ, dos Santos J, Vaz AP, Mesquita A. Rectal mixed adenoneuroendocrine carcinoma: Case report. Medicine (Baltimore) 2021; 100(40): e27348. DOI: 10.1097/MD.0000000000027348.
2. Gill AJ. Why did they change that? Practical implications of the evolving classification of neuroendocrine tumours of the gastrointestinal tract. Histopathology 2021; 78(1): 162–170. DOI: https://doi.org/10.1111/his.14172.
3. Nagtegaal ID, Odze RD, Klimstra D, Paradis V, Rugge M, Schirmacher P, Washington KM, Carneiro F, Cree IA, WHO Classification of Tumours Editorial Board. The 2019 WHO classification of tumours of the digestive system. Histopathology 2020; 76(2): 182–188. DOI: 10.1111/his.13975.
4. La Rosa S. Challenges in High-grade Neuroendocrine Neoplasms and Mixed Neuroendocrine/Non-neuroendocrine Neoplasms. Endocr Pathol 2021; 32(2): 245–257. DOI: https://doi.org/10.1007/s12022-021-09676-z.
5. Frizziero M, Chakrabarty B, Nagy B, Lamarca A, Hubner RA, Valle JW, McNamara MG. Mixed Neuroendocrine Non-Neuroendocrine Neoplasms: A Systematic Review of a Controversial and Underestimated Diagnosis. J Clin Med 2020; 9(1). DOI: 10.3390/jcm9010273.
6. La Rosa S, Marando A, Sessa F, Capella C. Mixed Adenoneuroendocrine Carcinomas (MANECs) of the Gastrointestinal Tract: An Update. Cancers 2012; 4(1): 11–30. DOI: 10.3390/cancers4010011.
7. de Mestier L, Cros J, Neuzillet C, Hentic O, Egal A, Muller N, Bouché O, Cadiot G, Ruszniewski P, Couvelard A, Hammel P. Digestive System Mixed Neuroendocrine-Non-Neuroendocrine Neoplasms. Neuroendocrinology 2017; 105(4): 412–425. DOI: 10.1159/000475527.
8. Teran S, Camara Jurado M, Nuñez Sobrino JA. A Patient with an Ileocecal MiNEN and a Synchronous Squamous Non-Small-Cell Lung Cancer: Case Report and Review of the Literature. Case Rep Oncol Med 2021; 2021: 8896254. DOI: https://doi.org/10.1155/2021/8896254.
9. Rekhtman N, Pietanza MC, Hellmann MD, Naidoo J, Arora A, Won H, Halpenny DF, Wang H, Tian SK, Litvak AM, Paik PK, Drilon AE, Socci N, Poirier JT, Shen R, Berger MF, Moreira AL, Travis WD, Rudin CM, Ladanyi M. Next-Generation Sequencing of Pulmonary Large Cell Neuroendocrine Carcinoma Reveals Small Cell Carcinoma-like and Non-Small Cell Carcinoma-like Subsets. Clin Cancer Res 2016; 22(14): 3618–3629. DOI: 10.1158/1078-0432.CCR-15-2946.
10. Chen L, Liu M, Zhang Y, Guo Y, Chen M, Chen J. Genetic Characteristics of Colorectal Neuroendocrine Carcinoma: More Similar to Colorectal Adenocarcinoma. Clin Colorectal Cancer 2021; 20(2): 177–185.e13. DOI: https://doi.org/10.1016/j.clcc.2020.09.001.
11. Jesinghaus M, Konukiewitz B, Keller G, Kloor M, Steiger K, Reiche M, Penzel R, Endris V, Arsenic R, Hermann G, Stenzinger A, Weichert W, Pfarr N, Klöppel G. Colorectal mixed adenoneuroendocrine carcinomas and neuroendocrine carcinomas are genetically closely related to colorectal adenocarcinomas. Mod Pathol 2017; 30(4): 610–619. DOI: https://doi.org/10.1038/modpathol.2016.220.
12. Testa U, Pelosi E, Castelli G. Colorectal cancer: genetic abnormalities, tumor progression, tumor heterogeneity, clonal evolution and tumor-initiating cells. Med Sci Basel Switz 2018; 6(2). DOI: 10.3390/medsci6020031.
13. Woischke C, Schaaf CW, Yang HM, Vieth M, Veits L, Geddert H, Märkl B, Stömmer P, Schaeffer DF, Frölich M, Blum H, Vosberg S, Greif PA, Jung A, Kirchner T, Horst D. In-depth mutational analyses of colorectal neuroendocrine carcinomas with adenoma or adenocarcinoma components. Mod Pathol 2017; 30(1): 95–103. DOI: 10.1038/modpathol.2016.150.
14. Andrew A, Kramer B, Rawdon BB. The origin of gut and pancreatic neuroendocrine (APUD) cells – the last word? J Pathol 1998; 186(2): 117–118. DOI: 10.1002/(SICI)1096-9896(1998100)186:2<117::AID-PATH152>3.0.CO;2-J.
15. Bazerbachi F, Kermanshahi TR, Monteiro C. Early precursor of mixed endocrine-exocrine tumors of the gastrointestinal tract: histologic and molecular correlations. Ochsner J 2015; 15(1): 97–101.
16. Van den Ingh HF, van den Broek LJ, Verhofdtad AAJ. Neuroendocrine cells in colorectal adenomas. Journal of Pathology 1986; 148: 231–237. DOI: https://doi.org/10.1002/path.1711480307.
17. Vortmeyer AO, Lubensky IA, Merino MJ, Wang CY, Pham T, Furth EE, Zhuang Z. Concordance of genetic alterations in poorly differentiated colorectal neuroendocrine carcinomas and associated adenocarcinomas. J Natl Cancer Inst 1997; 89(19): 1448–1453. DOI: 10.1093/jnci/89.19.1448.
18. Michael A, Nath DK. Neoadjuvant and Adjuvant Chemotherapeutic Strategy of Colorectal Mixed Adeno-Neuroendocrine Carcinomas. Cureus 2021; 13(7): e16645. DOI: 10.7759/cureus.16645.
19. Tanaka T, Kaneko M, Nozawa H, Emoto S, Murono K, Otani K, Sasaki K, Nishikawa T, Kiyomatsu T, Hata K, Morikawa T, Kawai K, Watanabe T. Diagnosis, Assessment, and Therapeutic Strategy for Colorectal Mixed Adenoneuroendocrine Carcinoma. Neuroendocrinology 2017; 105(4): 426–434. DOI: https://doi.org/10.1159/000478743.