Lietuvos chirurgija ISSN 1392–0995 eISSN 1648–9942
2025, vol. 24(4), pp. 288–297 DOI: https://doi.org/10.15388/LietChirur.2025.24(4).5
Gintarė Tamulionytė
Lietuvos sveikatos mokslų universitetas, Medicinos fakultetas, Medicinos akademija, Kaunas, Lietuva
Lithuanian University of Health Sciences, Faculty of Medicine, Medical Academy, Kaunas, Lithuania
El. paštas gintaretamu@gmail.com
https://ror.org/0069bkg23
Vytautas Kimtys
Lietuvos sveikatos mokslų universiteto ligoninė Kauno klinikos, Ortopedijos traumatologijos klinika, Kaunas, Lietuva
The Hospital of Lithuanian University of Health Sciences (LSMU) Kauno klinikos,
Department of Orthopaedics and Traumatology, Kaunas, Lithuania
El. paštas vytautas.kimtys@gmail.com
https://ror.org/0069bkg23
Santrauka. Charcot-Marie-Tooth (CMT) liga – genetinė nervų sistemos liga, sukelianti periferinių nervų pažeidimus, dėl kurių sutrikdoma raumenų jėga ir jutimo funkcijos [1]. Šiai ligai būdingi galūnių motorikos ir jutimo sutrikimai bei pėdos deformacijos, dažniausia – pes cavus [2]. Sergant CMT liga, dėl amiotrofijos raumenys negeba stabilizuoti sąnarių, todėl vystosi deformacijos, netaisyklinga padėtis sukelia netinkamą apkrovą, greitesnį kremzlės dėvėjimąsi, artrozę bei equinus, cavus, varus, valgus deformacijas [3]. Specifinio CMT ligos gydymo nėra, todėl taikomas simptominis gydymas ir reabilitacija [4]. Esant sunkioms deformacijoms ir sąnarių artrozei, rekomenduojamos chirurginės intervencijos. Chirurgiškai galima atlikti minkštųjų audinių operacijas, koreguojančias osteotomijas, artrodezes arba čiurnos sąnario artroplastiką [7, 9, 10]. Ankstyva chirurginė intervencija gali sustabdyti deformacijų progresavimą [17].
Šiame straipsnyje aptariami dviejų pacienčių, sergančių CMT liga, atvejai. Pirmajai pacientei išsivystė cavovarus deformacija, paskutinių stadijų čiurnos ir subtalarinio sąnario artrozė abiejose kojose. Chirurginiam gydymui pasirinkta tibiotalokalkaninė (TTC) artrodezė intrameduline vinimi. Antrajai, jaunesnei pacientei, išsivystė cavovarus deformacija, kuri ištaisyta atlikus ankstyvas chirurgines intervencijas: abiejų kulnakaulių ašį koreguojančias osteotomijas, subtalarinių sąnarių artrodezes sraigtais, Achilo sausgyslių ilginimą, pirmų padikaulių uždaro kampo kylines osteotomijas ir kairės kojos lateralinių čiurnos sąnario raiščių plastiką dėl čiurnos sąnario nestabilumo.
Reikšminiai žodžiai: Charcot-Marie-Tooth liga, artrozė, artrodezė.
Abstract. Charcot-Marie-Tooth (CMT) disease is a genetic neurological disorder that affects the peripheral nerves, leading to impaired muscle strength and sensory function [1]. The disease is characterized by motor and sensory disturbances in the limbs, as well as foot deformities, most commonly pes cavus [2]. Due to amyotrophy in CMT, the muscles are unable to stabilize the joints, resulting in deformities. Improper joint positioning leads to abnormal loading, accelerated cartilage wear, osteoarthritis, and deformities such as equinus, cavus, varus, and valgus [3]. As there is no specific treatment for CMT, symptomatic management and rehabilitation are applied [4]. Surgical intervention is recommended in cases of severe deformities and joint osteoarthritis. Surgical options include soft tissue procedures, corrective osteotomies, arthrodeses, or ankle joint arthroplasty [7, 9, 10]. Early surgical intervention can halt the progression of deformities [17]. This article presents two cases of patients with CMT. The first patient developed cavovarus deformity and end-stage osteoarthritis of both the ankle and subtalar joints. Surgical treatment involved tibiotalocalcaneal (TTC) arthrodesis with an intramedullary nail. The second, younger patient developed cavovarus deformity, which was corrected through early surgical interventions, including bilateral calcaneal axis-correcting osteotomies, subtalar joint arthrodeses with screws, Achilles tendon lengthening, closed wedge osteotomies of the first metatarsals, and lateral ankle ligament reconstruction of the left foot due to ankle joint instability.
Keywords: Charcot-Marie-Tooth disease, osteoarthritis, arthrodesis.
Received: 2025-04-14. Accepted: 2025-05-30.
Copyright © 2025 Gintarė Tamulionytė, Vytautas Kimtys. Published by Vilnius University Press. This is an Open Access article distributed under the terms of the Creative Commons Attribution Licence, which permits unrestricted use, distribution, and reproduction in any medium, provided the original author and source are credited.
Charcot-Marie-Tooth (CMT) liga ‒ genetinė nervų sistemos liga, sukelianti periferinių nervų mielino apvalkalo arba aksonų pažeidimus, todėl gali sumažėti raumenų jėga, sutrikti jutimai. Tai viena iš dažniausių paveldimų neuropatijų, pasireiškiančių maždaug 1 iš 2 500 žmonių [1]. Pirmieji klinikiniai požymiai: distalinių galūnių motorikos ir jutimo sutrikimai, susilpnėjusi pėdos dorsifleksija, sumažėję sausgyslių refleksai, amiotrofija ir kaulų bei sąnarių deformacijos [2]. Sergant CMT liga, dėl amiotrofijos raumenys nepakankamai stabilizuoja sąnarius, todėl vystosi deformacijos. Dėl netaisyklingos sąnario padėties atsiranda mechaninių pokyčių, lemiančių sąnarių perkrovą ‒ greičiau dėvisi kremzlė, vystosi artrozė, formuojasi cavus, varus arba valgus deformacijos. Taip pat gali deformuotis pirštai – išsivystyti plaktukinių pirštų deformacija. Ši liga gali pažeisti ne tik čiurną bei pėdą, bet ir sukelti klubų displaziją, skoliozę [3]. CMT ligai medikamentinio gydymo nėra, taikomas tik simptominis gydymas ir reabilitacija: aerobiniai pratimai ir raumenų jėgos didinimas [4]. Pacientams, turintiems judėjimo sutrikimų ir nestabilų čiurnos sąnarį, pritaikomi ortopediniai batų įdėklai, batai ar įtvarai, koreguojantys pėdos ir čiurnos padėtį [5]. Skausmui ir uždegimui mažinti naudojami nesteroidiniai priešuždegiminiai vaistai, o stipriam skausmui malšinti ‒ kortikosteroidų injekcijos. Jei konservatyvus gydymas neefektyvus, gali prireikti chirurginių intervencijų. Operacijų tikslas ‒ atkurti fiziologinę pėdos formą, ištaisyti deformacijas ir atstatyti raumenų balansą [6]. Chirurginės technikos priklauso nuo individualaus atvejo: gali būti atliekamas minkštųjų audinių atpalaidavimas, sausgyslių perkėlimas arba ilginimas, fascijos atpalaidavimas, koreguojančios osteotomijos, sąnarių artrodezės ir čiurnos artroplastikos operacijų deriniai [7]. Esant lengvoms deformacijoms, pradedama nuo minkštųjų audinių korekcijos. Jei to nepakanka, atliekamos osteotomijos ir artrodezės. Dažniausiai koreguojamas pirmasis padikaulis, atliekant jo osteotomiją. Vidurinės pėdos cavus deformacija rekonstruojama atliekant vidurinės pėdos dalies kaulų osteotomijas. Jei to nepakanka varus korekcijai, galima atlikti kulnakaulio ašį koreguojančią osteotomiją. Pes cavovarus koreguojama šokikaulio–kulnakaulio, šokikaulio–laivakaulio ir kulnakaulio–kubakaulio artrodezėmis, kurios gali būti derinamos tarpusavyje [8]. Esant sunkioms pėdos ir čiurnos deformacijoms, paskutinės stadijos artrozei, kai ašinė varus ar valgus deformacija didesnė negu 15°, bloga kaulo kokybė indikuotina sąnario artrodeze [9, 10]. Artrodezės būdas pasirenkamas atsižvelgiant į individualų atvejį ‒ galima atlikti tibiotalarinę ir tibiotalokalkaninę (TTC) artrodezę [11]. Blauzdikaulio‒šokikaulio‒kulnakaulio artrodezės metu siekiama, kad čiurna būtų neutralioje sagitalinėje padėtyje, valgus ‒ 0‒5° koronaliai, nedidelė išorinė rotacija – 10° ašinėje plokštumoje [10]. Retrogradinė intramedulinė vinis pranašesnė už kitus artrodezės būdus, nes suteikia didesnį rotacinį stabilumą ir geriau kompresuoja kaulų jungtis dėl užrakinamų sraigtų [12].
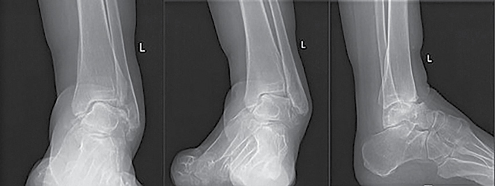
56 m. pacientė atvyko į Lietuvos sveikatos mokslų universiteto ligoninę Kauno klinikas (LSMUL KK) dėl metus trunkančio čiurnos ir pėdos skausmo bei deformacijos. Prieš metus pacientei diagnozuota CMT liga. Rentgeno vaizduose matyti kairės čiurnos cavovarus deformacija, šokikaulio panirimas, čiurnos sąnario artroziniai pakitimai, egzostozės po lateraline kulkšnimi. Kompiuterine tomografija nustatyta III stadijos čiurnos sąnario artrozė ir II stadijos subtalarinio sąnario artrozė. Objektyviai vertinant, pėdos plantarinė fleksija ‒ 20°, dorsifleksija ‒ 5°. Skausmas pagal skausmo skalę (VAS) įvertintas 8 balais (10 ‒ labai stiprus skausmas, 0 – skausmo nėra). Remiantis Europos čiurnos ir pėdos draugijos sukurta funkcijos vertinimo skale (EFAS), čiurnos ir pėdos funkcija įvertinta 4 iš 24 galimų balų (24 balai ‒ gera čiurnos ir pėdos funkcija). Taikant Amerikos pėdos ir čiurnos ortopedų draugijos (AOFAS) čiurnos ir pėdos funkcijos vertinimo sistemą, įvertinimas siekė 23 balus iš 100 galimų (100 balų – gera funkcija). Pacientei atlikta TTC artrodezė intrameduline vinimi, I padikaulio uždaro kampo osteotomija, koreguota padikaulio ašis, ji fiksuota rakinama plokštele ir sraigtais. Po operacijos rekomenduota 2 savaites laikyti koją pakėlus, 15 savaičių dėvėti čiurnos įtvarą, išėmus siūlus, dar 6 savaites dėvėti kompresinę kojinę, 12 savaičių neminti kojos. Po 10 savaičių pacientė turėjo atvykti kontrolinio vizito ir pradėti didinti krūvį. Reabilitacija pradėta praėjus 10 savaičių. Po metų rentgenologinėse nuotraukose matyti čiurnos ir subtalarinio sąnario ankilozė, kaulų ir vinies padėtis gera. Pagal VAS skausmas sumažėjo iki 2 balų, pagal EFAS jis vertinamas 18 balų, pagal AOFAS ‒ 66 balais.

1 pav. Kairės čiurnos ir pėdos tiesinė ir šoninė rentgenogramos prieš operaciją

2 pav. Kairės čiurnos ir pėdos tiesinė ir šoninė rentgenogramos po 6 metų
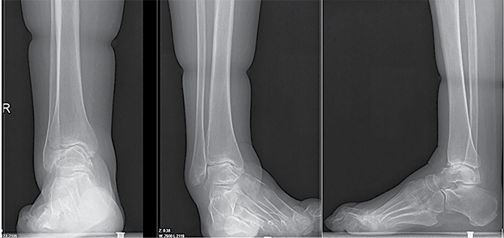
Po trejų metų pacientė atvyko dėl dešinės čiurnos ir pėdos skausmo, tinimo ir deformacijos. Konservatyvus gydymas buvo neveiksmingas. Vertinant objektyviai: pėdos dorsifleksija ‒ 5°, plantarinė fleksija ‒ 25°, VAS ‒ 8, EFAS – 5, AOFAS – 38 balai. Rentgeno nuotraukose matyti dešinės čiurnos ir pėdos cavovarus deformacija, pradiniai artroziniai čiurnos ir subtalarinio sąnarių pakitimai. Nutarta atlikti dešinio kulnakaulio gumburą lateralizuojančią osteotomiją, subtalarinio sąnario artrodezę sraigtais, Hoke metodika pailginti Achilo sausgyslę ir atlikti plantarinės fascijos fasciotomiją. Nurodyta 8 savaites neminti kojos, 10 savaičių dėvėti čiurnos įtvarą, pašalinus siūlus, dar 6 savaites naudoti kompresinę kojinę. Po 3 savaičių rekomenduota mankštinti koją atliekant pėdos fleksiją ir ekstenziją. Reabilitaciją planuota pradėti po 10 savaičių. Po metų pacientė atvyko dėl išliekančio dešinės čiurnos ir pėdos skausmo, tinimo. Rentgeno nuotraukoje matyti progresuojanti dešinės čiurnos sąnario artrozė ir varus deformacija. Pėdos fleksija ir ekstenzija išliko tokia pati, čiurnos sąnarys nestabilus. Nuspręsta atlikti TTC artrodezę intrameduline vinimi. Praėjus dvejiems metams, rentgenologinėse nuotraukose matyti čiurnos ir subtalarinio sąnario ankilozė, kaulų ir vinies padėtis gera. Pagal VAS skausmas sumažėjo iki 2 balų, pagal EFAS jis vertinamas 21, pagal AOFAS – 71 balu.

3 pav. Dešinės čiurnos ir pėdos tiesinė ir šoninė rentgenogramos prieš operaciją

4 pav. Dešinės čiurnos ir pėdos tiesinė ir šoninė rentgenogramos po dvejų metų
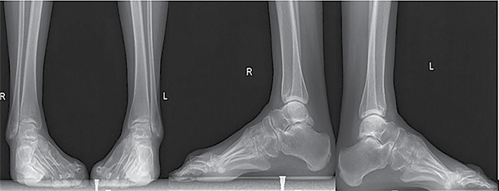
Antruoju atveju 38 m. pacientė kreipėsi į LSMU KK dėl deformuotų pėdų. Deformacijos prasidėjo vaikystėje. Dėl deformacijų sunku eiti, krypsta kojos, sunku pritaikyti tinkamą avalynę. Tais pačiais metais diagnozuota CMT liga. Objektyviai matyti abiejų pėdų varus deformacija, subtalarinių sąnarių nestabilumo požymiai. Vertinant objektyviai: pėdos plantarinė fleksija ‒ 25°, dorsifleksija ‒ 5°. Prieš 20 m. atlikta abiejų pėdų I tarsometatarsalinių (TMT) sąnarių artrodezės, susiformavusi kaulinė ankilozė. Rentgenogramoje matyti abiejų čiurnos sąnarių I stadijos artrozė, varus tipo pėdų deformacija, aukštas pėdos skliautas. Pacientei taikytas konservatyvus gydymas buvo neefektyvus. Skausmo nejaučiama. Pagal EFAS čiurnos ir pėdos funkcijos vertinimas siekė 18 balų, pagal AOFAS – 62 balus. Siekiant sustabdyti pėdos deformacijų progresavimą, atlikta kairiojo kulnakaulio ašį koreguojanti osteotomija ir subtalarinio sąnario artrodezė dviem sraigtais, Hoke metodika pailginta Achilo sausgyslė, atlikta lateralinių čiurnos sąnario raiščių plastika naudojant inkaruojantį sraigtą, I padikaulio uždaro kampo kylinė osteotomija bei osteosintezė L formos 5 skylių plokštele ir 4 rakinamais sraigtais. Po operacijos rekomenduota 2 savaites laikyti koją pakeltą, imobilizuoti įtvaru 10 savaičių, neminti kojos 8 savaites, o vėliau palaipsniui didinti atraminį krūvį. Po 4 savaičių, išėmus koją iš įtvaro, mankštinti ją per čiurnos sąnarį ‒ čiurną lenkti ir tiesti, vengti sukti pėdą į šonus. Po 6 savaičių paskirta atvykti ortopedo-traumatologo kontrolinės konsultacijos. Reabilitaciją numatyta pradėti po 10 savaičių. Po metų rentgenologinėse nuotraukose matyti gera konstrukcijų padėtis, sugijusios osteotomijų zonos ir susiformavusi kaulinė ankilozė. Pagal EFAS ‒ 23, pagal AOFAS – 82 balai. Vertinant objektyviai: pėdos plantarinė fleksija ‒ 35°, dorsifleksija ‒ 10°.

5 pav. Kairės ir dešinės čiurnos bei pėdos rentgenogramos prieš operacijas

6 pav. Kairės čiurnos ir pėdos rentgenogramos praėjus metams po operacijos
Po metų pacientė atvyko dėl dešinės pėdos nestabilumo, sunkumo vaikščioti. Sudėtinga pritaikyti avalynę, konservatyvus gydymas neefektyvus. Rentgeno nuotraukose matyti dešinės pėdos varus tipo deformacija, aukštas pėdos skliautas. Čiurnos ir pėdos funkcija pagal AOFAS – 67 balai, pagal EFAS – 18 balų. Pacientei atlikta uždaro kampo kulnakaulio ašį koreguojanti osteotomija, lateralizuotas gumburas, atlikta subtalarinio sąnario artrodezė dviem sraigtais. Hoke metodika pailginta Achilo sausgyslė. Atlikta I padikaulio uždaro kampo kylinė osteotomija ir osteosintezė L formos 5 skylių plokštele ir 4 rakinamais sraigtais. Po operacijos koja imobilizuota gipso langete, skirti analgetikai ir vaistai nuo trombų susidarymo. Pritaikytas ortopedinis įtvaras. Rekomendacijos išliko tokios pat, kaip ir po kairės kojos operacijos. Kontrolinės apžiūros duomenų dar negalima vertinti, nes operacija atlikta neseniai.

7 pav. Dešinės čiurnos ir pėdos rentgenogramos po operacijos
Sąvoka cavovarus reiškia, kad pėdos skliautas yra aukštesnis negu įprastai, o kulnas krypsta medialiai. Tokia pėda dažniausiai išsivysto dėl raumenų jėgos disbalanso, po traumos, sensomotorinės neuropatijos ar kitų neurologinių ligų [13]. Teigiama, kad dėl priekinio blauzdos raumens disbalanso padidėja plantarinė fleksija, pėdos pronacija ir cavus. Priekinės pėdos pronacija dėl užpakalinio blauzdos raumens ir trumpojo šeivinio raumens disbalanso sukelia užpakalinės pėdos inversiją. Ilgasis šeivinis raumuo siekia kompensuoti trumpojo raumens funkciją, pakreipdamas užpakalinę pėdą, o tai lemia I ir II padikaulių lenkimą. Dėl susilpnėjusios priekinio blauzdos raumens sausgyslės pėda „nukrinta“. Tai siekia kompensuoti ilgieji pirštų tiesiamieji raumenys, todėl pirštai tiesiasi į viršų [14]. Esant pes cavus, atsiranda perkrova lateralinei čiurnos daliai ir pėdai, taigi mažėja atraminė pėdos funkcija ir didėja skausmas. Sumažėjus čiurnos stabilumui, silpnėja lateraliniai raiščiai ir kapsulė, hipertrofuoja ilgasis šeivinis raumuo, todėl didėja čiurnos varus deformacija [13].
Cavovarus deformacija pirmiausia gydoma kineziterapija, dėvint įtvarą, naudojant specialius batų įdėklus, kurie užtikrina čiurnos stabilumą. Skausmui ir uždegimui mažinti vartojami nesteroidiniai priešuždegiminiai vaistai arba kortikosteroidai. Trombocitų praturtinta plazma (PRP) skatina audinių regeneraciją [15]. Neveikiant konservatyviam gydymui, indikuotinas chirurginis. Atsižvelgiant į individualų atvejį ir pažeidimą, galima atlikti minkštųjų audinių rekonstrukcinę operaciją: talonavikulinio sąnario kapsulotomiją, plantarinės fascijos atpalaidavimą, ilgojo šeivinio raumens sausgyslės ar užpakalinio blauzdos raumens sausgyslės perkėlimą, dvilypio raumens sausgyslės ar Achilo sausgyslės ilginimą, lateralinių čiurnos raiščių rekonstrukciją. Esant sunkiai deformacijai, galima atlikti lateralizuojančią kulnakaulio osteotomiją, įvairių sąnarių artrodezes [14, 16]. Ankstyva chirurginė intervencija gali sustabdyti deformacijos progresavimą ir užkirsti kelią cavovarus formavimuisi [17]. Deformacijos korekcija atkuria gerą kojos ašį, sumažina dalies sąnario perkrovas, todėl atstatoma tolygi sąnario apkrova visame paviršiuje. Pirmiausia koreguojami minkštieji audiniai: esant plantarinės fascijos kontraktūrai, atliekama plantarinė fasciotomija, čiurnos varus deformacija koreguojama lateralinio čiurnos raiščio rekonstrukcija, o equinus deformacija ‒ atpalaiduojant dvilypį raumenį arba ilginant Achilo sausgyslę. Jei deformacija pažengusi, atliekama kaulų rekonstrukcija. Pirmojo Lisfranco sąnario equinus deformacija taisoma pirmojo padikaulio osteotomija, kelių Lisfranco sąnarių ‒ Jahsso osteotomija. Laivakaulio–kubakaulio arba pleištukų deformacija koreguojama atliekant Cole’o, Japo, Akrono arba Myersono osteotomijas. Užpakalinės pėdos deformacija taisoma atliekant Dwyerio arba Z formos osteotomijas. Esant silpnai trumpojo šeivinio raumens sausgyslei, atliekamas šeivinio ilgojo raumens perkėlimas, o esant sutrumpėjusiai užpakalinio blauzdos raumens sausgyslei ‒ šios sausgyslės perkėlimas. Plaktukinė pirštų deformacija koreguojama Joneso ar Hibbso procedūromis. Esant cavovarus deformacijai, pažeidžiama čiurnos sąnario biomechanika, atsiranda nestabilumas, todėl palaipsniui vystosi artrozė. Šiais atvejais gali reikėti dvigubos, trigubos ar laivakaulio–kubakaulio artrodezės [18].
Pirmuoju straipsnyje pristatytu klinikiniu atveju artrozė buvo III stadijos, o konservatyvus gydymas nepadėjo, todėl pasirinktas chirurginis gydymas. Esant III stadijos artrozei, galima atlikti artrodezę arba čiurnos sąnario artroplastiką. Šiandien artrodezė laikoma vadinamuoju „auksiniu standartu“, nors mokslinėje literatūroje rezultatai, remiantis AOFAS ir VAS, nėra statistiškai reikšmingai skirtingi. Goldbergas ir kt. [19], atlikę sisteminę apžvalgą, nustatė, kad kiek didesnis skirtumas matyti tik vertinant pooperacines komplikacijas. Po čiurnos artroplastikos operacijų fiksuotas dvigubai didesnis pooperacinių žaizdų komplikacijų dažnis, nustatyta penkis kartus daugiau periprostetinių lūžių ir du kartus daugiau nervų pažeidimų. Atlikus artrodezę, fiksuota dvigubai daugiau infekcijos atvejų. 2022 m. TARVA tyrimas [19] parodė, kad po čiurnos artroplastikos kilo daugiau nervų pažeidimų ir žaizdos gijimo komplikacijų. Po artrodezės nustatyta daugiau tromboembolijų ir neišsivysčiusios ankilozės atvejų. 2020 m. atlikus tyrimą [20], statistiškai reikšmingo artrodezės ir artroplastikos komplikacijų ir revizijų dažnių skirtumo nenustatyta. Įvairiuose tyrimuose ir apžvalgose statistiškai reikšmingo skirtumo tarp čiurnos artrodezių ir endoprotezavimo taip pat nefiksuojama, todėl reikėtų atlikti daugiau tolimųjų tyrimų ir atsižvelgti į chirurgo gebėjimus bei patirtį, galimas komplikacijas, individualaus paciento būklę, gretutines ligas ir lūkesčius.
Pirmuoju klinikiniu atveju pasirinkta TTC artrodezė intrameduline vinimi. Retrogradinė vinis užtikrina geresnį rotacinį stabilumą, nes naudojami užrakinami sraigtai, kurie taip pat leidžia tvirčiau suspausti sąnarinius paviršius [19]. 2022 m. Steino ir kt. [21] studijoje nurodoma, kad, atlikus artrodezę, ankilozė pasiekta 41 iš 42 pacientų. Minėtina, kad tiriamųjų, kuriems artrodezė atlikta intrameduline vinimi, grupėje nenustatyta infekcijų ar kitų komplikacijų. Iš gautų rezultatų matyti, kad artrodezė intrameduline vinimi lėmė mažesnį komplikacijų dažnį, palyginti su artrodeze, atlikta fiksuojant sraigtais ar plokštelėmis. Perezas-Aznaras ir kt. [22], atlikę tyrimą, nurodo, kad ankilozės dažnis po artrodezės siekė 80 proc.
Čiurnos artrodezės rezultatai taip pat vertinami remiantis VAS ir AOFAS. Kaylemas ir kt. [12] tyrė 44 pacientus 30 mėnesių po atliktos operacijos ‒ skausmas po TTC artrodezės pagal VAS sumažėjo nuo 6,5 iki 0,98 balų, o čiurnos ir pėdos funkcija pagal AOFAS pagerėjo nuo 36,4 iki 73 balų. 2022 m. [23] tirta 19 pacientų, operuotų prieš 2‒5 metus. Nustatyta, kad AOFAS pagerėjo nuo 20 iki 64 balų, o VAS ‒ nuo 6,7 iki 3,6 balų. Nepaisant gerų pooperacinių rezultatų, kartais po TTC artrodezės kyla komplikacijų, tokių kaip galūnės sutrumpėjimas, žaizdos infekcija, kaulų nesusijungimas ir išliekantis skausmas [23]. 2021 m. Steinas ir kt. [24], atlikę sisteminę apžvalgą, nustatė, kad ankilozės nebuvo pasiekta 4,5 proc. atvejų, infekcijų dažnis siekė 5,1 proc., o artritas gretimame sąnaryje išsivystė 4,2 proc. atvejų. Dažniausia komplikacija ‒ kojos sutrumpėjimas (84,2 %) [23]. Feeney ir kt. [12] atliktoje studijoje 44 pacientai stebėti mažiausiai 30 mėn. po atliktos operacijos. 4,5 proc. pacientų pasireiškė paviršinė odos infekcija, kuri neprogresavo ir buvo išgydyta antibiotikų kursu, o 2,2 proc. pacientų pasireiškė gili infekcija, dėl kurios reikėjo atlikti reviziją. 6,6 proc. pacientų jautė pooperacinį skausmą, kuris išnyko pašalinus dirginančius sraigtus.
Straipsnyje pristatomu antruoju klinikiniu atveju atlikta subtalarinė artrodezė, kulnakaulio osteotomija, pailginta Achilo sausgyslė, atlikta lateralinių čiurnos raiščių plastika ir I padikaulio uždaro kampo kylinė osteotomija. Šiomis procedūromis siekta išvengti trigubos artrodezės ir deformacijų progresavimo. Kulnakaulio osteotomijos atliekamos įvertinus kulnakaulio padėtį ir deformacijos dydį. Dažniausios osteotomijos: medializuojanti (skirta valgus deformacijai koreguoti), Hintermanno (kampinei korekcijai koreguoti), lateralizuojanti (vidutinio sunkumo varus tipo deformacijai koreguoti), Dwyerio (lengvai varus korekcijai koreguoti) ir Z tipo (sunkiai varus deformacijai koreguoti) [25]. Jei kulnakaulio osteotomija neužtikrina tinkamos varus korekcijos, gali prireikti subtalarinės artrodezės. Artrodezė atliekama siekiant ištaisyti varus deformaciją, esant subtalarinio sąnario artrozei, deformacijos sukeltam skausmui ir norint stabilizuoti čiurną [17]. Kaip ir visos chirurginės intervencijos, artrodezė turi komplikacijų riziką: gali sumažėti pėdos inversija ir eversija, padidėti infekcijų tikimybė, gali nesusijungti kaulai. 2021 m. atliktoje studijoje [26] buvo stebimi 28 pacientai, iš kurių vienam po subtalarinės artrodezės pasireiškė infekcija, kuri išnyko po antibiotikų kurso, o dar vienam pacientui nepasiekta visiško kaulų susijungimo. 2022 m. atlikus retrospektyvinę studiją [8], nustatyta, kad po subtalarinės artrodezės AOFAS balas pagerėjo nuo 34 iki 84, o skausmas pagal VAS sumažėjo nuo 6,9 iki 1,9 balo. Panašūs subtalarinės artrodezės rezultatai gauti ir kitais tyrimais. Šiame straipsnyje pristatytu atveju AOFAS balas taip pat padidėjo nuo 62 iki 82.
Sergant CMT liga, sukeliančia įvairių deformacijų, svarbu kiekvieną atvejį vertinti individualiai, atsižvelgiant į deformacijos ir atrozės laipsnį bei morfologiją. Chirurginio gydymo būdą ir konstrukcijas CMT ligos sukeltoms deformacijoms gydyti reikia rinktis įvertinus paciento amžių, rizikos veiksnius, gretutines ligas, deformacijos tipą ir chirurgo patirtį.
1. CMT liga ‒ genetinė periferinių nervų liga, sukelianti rimtų judėjimo ir jutimo sutrikimų, reikalaujančių individualizuoto ir kompleksinio gydymo, apimančio tiek konservatyvius, tiek chirurginius metodus. Dėl raumenų disbalanso vystosi sąnarių nestabilumas, deformacijos ir progresuojanti artrozė, kuri gali sukelti judėjimo sutrikimų ir pabloginti gyvenimo kokybę.
2. Konservatyvus gydymas, apimantis reabilitaciją, ortopedinius įtvarus ir medikamentinę terapiją, gali padėti valdyti simptomus, tačiau ne visada užtikrina pakankamą deformacijų korekciją.
3. Chirurginis gydymas rekomenduojamas pacientams, kuriems deformacijos progresuoja, o konservatyvus gydymas neefektyvus. Ankstyvas chirurginis gydymas gali sustabdyti deformacijos progresavimą ir užkirsti kelią didesnėms intervencijoms.
4. Chirurgiškai atliekamos minkštųjų audinių operacijos, koreguojančios deformacijas osteotomijos, sąnarių artrodezės ar čiurnos sąnario artroplastika, priklausomai nuo deformacijos sunkumo.
5. Intramedulinė vinis tibiotalokalkaninei (TTC) artrodezei atlikti yra veiksmingas metodas, suteikiantis rotacinį stabilumą ir užtikrinantis pėdos ir čiurnos motorinę funkciją.
6. Straipsnyje aptarti klinikiniai atvejai rodo, kad chirurginės intervencijos gali reikšmingai sumažinti skausmą, pagerinti motorinę funkciją ir užkirsti kelią deformacijoms progresuoti.
7. Chirurginės procedūros gali pagerinti funkciją ir sumažinti skausmą, tačiau jos susijusios su komplikacijų rizika, todėl, atlikus operaciją, reikalinga ilgalaikė pacientų stebėsena.
Gintarė Tamulionytė ‒ conceptualization, data curation, resources, writing (original draft).
Vytautas Kimtys ‒ supervision, writing (review and editing).
1. Morena J, Gupta A, Hoyle JC. Charcot–Marie–Tooth: from molecules to therapy. Int J Mol Sci 2019; 20(14): 3419.
2. Beloribi-Djefaflia S, Attarian S. Treatment of Charcot–Marie–Tooth neuropathies. Rev Neurol 2023; 179(1‒2): 35‒48.
3. Morgan LE, Iaquinto JM. Neurological foot pathology. In: Foot and Ankle Biomechanics, 2023, p. 489–506.
4. Okamoto Y, Hiroshi T. The current state of Charcot–Marie–Tooth disease treatment. Genes 2023; 14(7): 1391.
5. Corrado B, Ciardi G, Bargigli C. Rehabilitation management of the Charcot–Marie–Tooth syndrome: a systematic review of the literature. Medicine (Baltimore) 2016; 95(17): 3278.
6. Laurá M, Singh D, Ramdharry G, Morrow J, Skorupinska M, Pareyson D, Burns J, Lewis RA, Scherer SS, Herrmann DN, Cullen N, Bradish C, Gaiani L, Martinelli N, Gibbons P, Pfeffer G, Phisitkul P, Wapner K, Sanders J, Flemister S. Prevalence and orthopedic management of foot and ankle deformities in Charcot‒Marie‒Tooth disease. Muscle & Nerve 2018; 57(2): 255–259.
7. Faldini C, Traina F, Nanni M, Mazzotti A, Calamelli C, Fabbri D, Pungetti C, Giannini S. Surgical treatment of cavus foot in Charcot‒Marie‒Tooth disease: a review of twenty-four cases: AAOS exhibit selection. J Bone Joint Surg Am 2015; 97(6): e30.
8. Nonnekes J, Hofstad C, de Greef-Rotteveel A, van der Wielen H, van Gelder JH, Plaats C, Altmann V, Krause F, Keijsers N, Geurts A, Louwerens JWK. Management of gait impairments in people with Charcot‒Marie‒Tooth disease: a treatment algorithm. J Rehabil Med 2021; 53(5): 2788.
9. Bazaras L, Bykovienė L, Braziulis K, Čebatorius A, Čekanauskas E, Degliūtė Muller R, Donec V, Gerulis V, Gintautienė J, Gružauskas M, Gudas R, Juosponis R, Jurkonis R, Kadusauskas T, Kalesinskas RJ, Keizeris A, Kimtys V, Kontautas E, Krutulytė G, Loiba V, Morkevičius T, Naruševičiūtė D, Pilipaitytė L, Pilipavičius G, Pocius G, Rainys D, Rapolienė J, Rimdeikienė I, Samėnienė J, Simonaitytė R, Stravinskas M, Stučinskas J, Širka A, Tamulaitis G, Tankevičius G, Tarasevičius Š, Toliušis V, Urbonienė A, Varžaitytė L, Vertelis A, Zacharevskij E, Zasimauskienė A, Zeniauskas L. Atraminio-judamojo aparato ligos: ortopedija-traumatologija, plastinė ir rekonstrukcinė chirurgija, reabilitacija. Kaunas: Vitae Litera, 2017.
10. Arvind P. Current concepts in ankle arthrodesis. J Clin Orthop Trauma 2024; 56: 102537.
11. Deleu PA, Piron M, Leemrijse G, Besse JL, Chèze L, Bevernage BD, Lalevée M, Leemrijse T. Patients’ point of view on the long-term results of total ankle arthroplasty, tibiotalar and tibiotalocalcaneal arthrodesis. Orthop Traumatol Surg Res 2022; 108(7): 103369.
12. Kaylem MF, Murphy EP, Curran MG, Kearns SR. Outcomes following tibiotalocalcaneal arthrodesis using a solid posterior offset intramedullary nail in 44 patients with a minimum 30-month follow-up. Foot Ankle Surg 2024; 30(4): 325‒330.
13. Karges DE, Wolfe J, Aviles R. Ankle and pantalar arthrodesis: end-stage salvage in cavus foot. Clin Podiatr Med Surg 2021; 38(3): 483‒495.
14. Wenz W. Double and triple tarsal fusions in the complex cavovarus foot. Foot Ankle Clin 2022; 27(4): 819‒833.
15. Moran C, Tourné Y. Posterior heel pain in cavovarus foot. Foot Ankle Clin 2023; 28(4): 775‒789.
16. Welck JM, Haldar A. Hindfoot fusions in the cavovarus foot: what is the key for a successful outcome? Foot Ankle Clin 2023; 28(4): 805‒818.
17. Pfeffer GB, Gonzalez T, Brodsky J, Campbell J, Coetzee C, Conti S, Guyton G, Herrmann DN, Hunt K, Johnson J, McGarvey W, Pinzur M, Raikin S, Sangeorzan B, Younger A, Michalski M, An T, Noori N. A consensus statement on the surgical treatment of Charcot‒Marie‒Tooth disease. Foot Ankle Int 2020; 41(7): 870‒880.
18. Qin B, Wu S, Zhang H. Evaluation and management of cavus foot in adults: a narrative review. J Clin Med 2022; 11(13): 3679.
19. Goldberg AJ, Chowdhury K, Bordea E, Hauptmannova I, Blackstone J, Brooking D, Deane EL, Bendall S, Bing A, Blundell C, Dhar S, Molloy A, Milner S, Karski M, Hepple S, Siddique M, Loveday DT, Mishra V, Cooke P, Halliwell P, Townshend D, Skene SS, Doré CJ, TARVA Study Group, Brown R, Butler M, Chadwick C, Clough T, Cullen N, Davies M, Davies H, Harries B, Khoo M, Makwana N, Murty A, Najefi A, O’Donnell P, Raglan M, Thomas R, Torres P, Welck M, Winson I, Zaidi R. Total ankle replacement versus arthrodesis for end-stage ankle osteoarthritis: a randomized controlled trial. Ann Intern Med 2022; 175(12): 1648‒1657.
20. Abuhantash M, Andrea V, Wing K, Gagne O, Qian H, Wong H, Sadr H, Penner M, Younger A. Arthroscopic versus open ankle arthrodesis: a 5-year follow up. J Bone Joint Surg Am 2022; 104(13): 1197‒1203.
21. Van den Heuvel SBM, Penning D, Schepers T. Open ankle arthrodesis: a retrospective analysis comparing different fixation methods. J Foot Ankle Surg 2022; 61(2): 233−238.
22. Perez-Aznar A, Gonzalez-Navarro B, Bello-Tejeda LL, Alonso-Montero C, Lizaur-Utrilla A, Lopez-Prats FA. Tibiotalocalcaneal arthrodesis with a retrograde intramedullary nail: a prospective cohort study at a minimum five year follow-up. Int Orthop 2021; 45(9): 2299‒2305.
23. Stołtny T, Dugiełło B, Pasek J, Szyluk K, Pyda M, Spyrka D, Białek M, Czuma P, Pijet B, Werner K, Cieślar G, Littner R, Pleva L, Koczy B. Tibiotalocalcaneal arthrodesis in osteoarthritis deformation of ankle and subtalar joint: evaluation of treatment results. J Foot Ankle Surg 2022; 61(1): 205‒211.
24. Van den Heuvel SBM, Doorgakant A, Birnie MFN, Blundell CM, Schepers T. Open ankle arthrodesis: a systematic review of approaches and fixation methods. Foot Ankle Surg 2021; 27(3): 339‒347.
25. Brilhault J. Calcaneal osteotomy for hindfoot deformity. Orthop Traumatol Surg Res 2022; 108(1S): 103121.
26. Rungprai C, Jaroenarpornwatana A, Chaiprom N, Phisitkul P, Sripanich Y. Outcomes and complications of open vs posterior arthroscopic subtalar arthrodesis: a prospective randomized controlled multicenter study. Foot Ankle Int 2021; 42(11): 1371–1383.