Lietuvos chirurgija ISSN 1392–0995 eISSN 1648–9942
2025, vol. 24(1), pp. 57–66 DOI: https://doi.org/10.15388/LietChirur.2025.24(1).6
Edvinas Kildušis
Vilniaus universitetas, Vilnius, Lietuva
Vilnius University, Vilnius, Lithuania
El. paštai: edvinas.kildusis@rvul.lt, edvinas.kildusis@mf.stud.vu.lt
https://ror.org/03nadee84
Renatas Kedikas
Vilniaus universitetas, Vilnius, Lietuva
Vilnius University, Vilnius, Lithuania
El. paštas renatas.kedikas@mf.stud.vu.lt
https://ror.org/03nadee84
Andrej Afanasjev
Respublikinė Vilniaus universitetinė ligoninė, Vilnius, Lietuva
Republican Vilnius University Hospital, Vilnius, Lithuania
El. paštas andrej.afanasjev@rvul.lt
https://orcid.org/0009-0002-9609-5325
Gintautas Brimas
Vilniaus universitetas, Vilnius, Lietuva
Vilnius University, Vilnius, Lithuania
El. paštas gintautas.brimas@rvul.lt
https://orcid.org/0000-0003-1150-6202
https://ror.org/03nadee84
Abstract. Grönblad-Strandberg syndrome (also referred as pseudoxanthoma elasticum) is a rare genetic metabolic disease, causing ectopic calcification of organism elastic fibers. This leads to vascular complications including bleeding. Hemorrhages from various organs and tissues are reported, but gastrointestinal bleeding is particularly common. We managed a 55-year-old man rich in comorbidities with acute severe gastrointestinal bleeding in the stomach. Despite the unclear cause of the bleeding at the time emergency endoscopy was made, during which the bleeding was completely stopped and patient’s hemodynamics was stabilized. To prevent recurrent bleeding in the future transcatheter vascular embolization was performed. The clip placed during endoscopy helped the interventional radiologist select the correct vessels for embolization. Only after detailed and strict anamnesis later the diagnosis was established. After 5 years period the patient is still alive and active despise wide and severe adjacent pathology without episodes of recurrent bleeding. Clinicians must keep in mind rare genetic disorders that may cause the gastrointestinal bleeding and evolve diagnostic and management complex to achieve clinical success.
Keywords: Grönblad-Strandberg syndrome, pseudoxanthoma elasticum, gastrointestinal bleeding, unusual, cause, genetic disease, endoscopy, angiography, diagnostic, embolization, surgery.
Santrauka. Grönblado ir Strandbergo sindromas (dar žinomas kaip elastinė pseudoksantoma) yra reta genetinė medžiagų apykaitos liga, sukelianti organizmo elastinių skaidulų ektopinę kalcifikaciją. Tai lemia kraujagyslių pažeidimus, kurie sąlygoja kraujavimą. Mokslinėje literatūroje aprašomas įvairių organų ir audinių kraujavimas, tačiau itin dažnai kraujuojama virškinimo trakte. Straipsnyje aptariamas 55 m. vyro, turinčio daug gretutinių ligų, atvejis. Pacientas gydytas dėl ūmaus intensyvaus kraujavimo virškinimo trakte – skrandyje. Iš pradžių kraujavimo priežastis nenustatyta. Atlikta skubi endoskopija, jos metu sustabdytas kraujavimas, ligonio hemodinamika stabilizuota. Siekiant išvengti kraujavimo pasikartojimo, atlikta transkateterinė kraujagyslių embolizacija. Endoskopijos metu uždėtas klipsas leido intervenciniam radiologui rasti kraujagysles, kurias reikėjo embolizuoti. Paciento diagnozė nustatyta vėliau, surinkus tikslią, išsamią anamnezę. Praėjus 5 metams pacientas, nepaisant sunkios gretutinės patologijos, tebėra gyvas ir aktyvus. Kraujavimas virškinimo trakte nesikartojo. Praktikuojantiems gydytojams, siekiantiems klinikinės sėkmės, svarbu turėti omenyje retas genetines ligas, galinčias sukelti kraujavimą virškinimo trakte, ir plėtoti glaudžiai susijusias diagnostikos ir gydymo metodikas.
Reikšminiai žodžiai: Grönblado ir Strandbergo sindromas, elastinė pseudoksantoma, kraujavimas virškinimo trakte, neįprasta priežastis, genetinė liga, endoskopija, angiografija, diagnostika, embolizacija, chirurgija.
Received: 2024-10-01. Accepted: 2024-11-12.
Copyright © 2025 Edvinas Kildušis, Renatas Kedikas, Andrej Afanasjev, Gintautas Brimas. Published by Vilnius University Press. This is an Open Access article distributed under the terms of the Creative Commons Attribution Licence, which permits unrestricted use, distribution, and reproduction in any medium, provided the original author and source are credited.
Acute gastrointestinal bleeding (GIB) is the life-threatening abdominal emergency. Upper gastrointestinal bleeding (UGIB) is defined as bleeding derived (originating) from a source proximal to the ligament of Treitz in the distal esophagus, stomach or duodenum [1, 2], lower GI bleeding (LGIB) – distal to the mentioned ligament. Successful treatment of GIB requires identifying the source (cause) of the bleeding. It can be determined by endoscopy (esophagogastroduodenoscopy, colonoscopy) (usually identified), CT scan or MRI angiography, nuclear (radionuclide) scintigraphy and catheter angiography (is most often performed only as a precursor to transcatheter arterial embolization (TAE) based on the known vascular supply to the area of abnormality) [1, 2]. The most common causes of upper GIB are: ulcers, esophageal varicose, erosive esophagitis and gastritis, Mallory-Weiss syndrome and benign tumors and malignancy, LGIB – diverticular disease, angiodysplasia, inflammatory bowel diseases (Chron’s disease and ulcerative colitis), hemorrhoids and anal fissures. Unfortunately, there is a large variety of uncommon GIB reasons and this might lead doctors to misdiagnosis and fatal consequences [2]. Such as Crest syndrome, Dieulafoy’s lesion, rupture of aneurysm, aortoenteric fistula, ancylostomiasis, small intestine ulcer, ascariasis, rabies, benign tumor of the duodenum, pancreatic disorders, Behcet’s disease [3]. There are also genetic diseases that cause gastrointestinal bleeding. Grönblad-Strandberg syndrome (GSS) (also known as pseudoxanthoma elasticum (PXE)) is a rare genetic disorder with the estimated prevalence between 1/25.000 and 1/100.000 [4, 5]. This pathology is characterized by calcification of the elastic fibers in the connective tissue due to mutation of the ABCC6 gene. The most common sites are skin, eyes and blood vessels. In vascular lesions, when the inner elastic lamina of an artery is calcified, the risk of bleeding increases [4, 5]. GSS is associated with bleeding from many sites and one of the most common sites of hemorrhage is GI [4, 5]. In this case overview, we try to show how important is the propter and timely interventions for acute GIB management, even for causes not immediately clear, even for patients with wide and severe pathology.
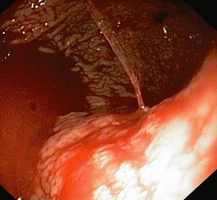
A 55-year-old male patient arrived at the Emergency Department of the Republican Vilnius University Hospital complaining of black stools and general weakness for only 1-day, tachycardia and low arterial blood pressure. UGIB was suspected. An extra esophagogastroduodenoscopy was performed. Arterial bleeding was observed from the posterior stomach wall in the border of the body/upper third of the stomach (Figures 1, 2). No pathological formations were visible in the mucosa. Dieulafoy’s lesion was suspected. The abdominal surgeon/endoscopist immediately started to stop the bleeding with adrenaline injection, but it was not enough. When we used endoscopic clip (Figures 3, 4). Bleeding was completely stopped. Patient’s condition was stabilized. But disease remained unknown. In order to reduce the risk of recurrent bleeding, we performed selective angiography of truncus coeliacus and embolization of the distal branches of arteria gastrica sinistra and some arteria lienalis branches, that feed formation through collateral blood flow (Figure 5). Large microspheres and pushing spirals were used for embolization (Figures 6, 7). The cause of bleeding still remained surely unknown. Now we suspected tumor. Only after by detailed strict anamnesis based on the patient’s life history, we conclude that the patient has a genetic disorder – Grönblad-Strandberg syndrome. According to our data, only four people suffer from this syndrome in Lithuania. Adjacent to this the patient had been operated for rectal cancer in the past, followed by ileostomy closure and abdominal wall hernioplasty for postoperative hernia. It is currently known that the patient has metastases in the liver and brain. The spread of cancer metastases, wide and severe comorbidities worsen the patient’s current condition, but despise these severe illnesses after proper and timely interventions, the patient lives without recurrent bleeding until now.
Figure 1. Bleeding site (endoscopic view)

Figure 2. Bleeding site (endoscopic view)

Figure 3. Olympus EZ Clips HX-610-135L
The patient’s disease history. In 1981, Grönblad-Strandberg syndrome was diagnosed on the basis of ocular pathology in Moscow. This syndrome caused three episodes of GIB. In 1991, the first bleeding episode occurred after taking aspirin. In 2001, a second bleeding episode occurred in Poland. Laparotomic operation was performed by local surgeons to stop the bleeding of unclear origin. And in 2019 a third bleeding episode occurred. The patient was treated in the Republican Vilnius university hospital, where the bleeding was successfully stopped using endoscopy and selective angiography to block the possibility of recurrence. The patient also has diagnoses of macular degeneration, atherosclerosis of the arteries of the extremities, arterial and arteriolar disorders clinically manifested as blurry vision and intermittent claudication pains in the left leg (eyes, blood vessels are the typical affected sites in patients with Grönblad-Strandberg syndrome).

Figure 4. Clip (angiographic view)

Figure 5. Selective truncus cealicus angiography

Figure 6. Transcatheter vascular embolization (partial)

Figure 7. Transcatheter vascular embolization (complete)
Classically hemorrhages that occur from the esophagus to the ligament of Treitz (duodenojejunal flexure) are referred to upper gastrointestinal bleeding (UGIB). Lower gastrointestinal bleeding (LGIB) is described as bleeding from an area distal to the mentioned ligament [2].
But nowadays some clinicians redefined gastrointestinal bleeding (GIB) classification. They suggest, that UGIB is bleeding above the ampulla of Vater (within reach of gastroscope) and LGIB is separated into mid-GIB from bowel between the ampulla of Vater and the terminal ileum or lower GIB from the colon [2].
Clinical presentations of GIB are classified as acute or overt (hematemesis, melena or hematochezia), chronic or occult (positive fecal occult blood or iron deficiency anemia) and obscure (recurrent bleeding when the source remains unidentified) [2].
Diagnostic options for GIB include esophagogastroduodenoscopy and colonoscopy (initial examinations); computed tomography angiography (CTA) (ongoing arterial bleeding to be at least 0.5 mL/min), catheter angiography (from 0.5 to 1.5 mL/min) and radionuclide imaging (nuclear scintigraphy with technetium-99m (99mTc) sulphur colloid or 99mTc pertechnetate labelled autologous red blood cells, 0.1 mL/min) for acute GIB; wireless capsule endoscopy, push enteroscopy and deep enteroscopy – the double balloon endoscopy system, the single balloon enteroscope system, and the Endo-Ease Discovery SB small bowel enteroscope or spiral enteroscope, computed tomography (CT) or magnetic resonance (MR) enterography (for obscure GIB) [2].
Upper gastrointestinal bleeding (UGIB) is a common emergency situation, but also life-threatening condition needing prompt (timely), accurate clinical diagnosis (location and etiology) [1, 2] and surgical intervention. It can be caused by the different pathologies [2, 6]. Peptic ulcer disease (PUD, gastric or duodenal ulcers, but some investigators include esophageal ulcers) [1], remains the most common cause of UGIB, representing approximately half of all cases [1, 3, 6]. And with esophageal varicose (variceal bleeding) account for more than 80% of cases. Gastritis, benign or malignant tumors of the digestive tract (accounts for less than 5% of UGIB) [6], even ischemia, trauma and iatrogenic are less common causes of UGIB [1]. GIB that is hard to control is a major cause of mortality among patients with malignancies (such as adenocarcinoma, lymphoma, gastrointestinal stromal tumors (GIST) and metastatic intestinal tumors) [6]. Unfortunately, there is a large variety (many cases reported) of uncommon (unusual) reasons (causes), which contribute to UGIB and might become reasons for misdiagnosis and sometimes lead to fatal consequences (can cause rapid and massive hemorrhage and the mortality rate could be higher than 75%) [2], but widening our understanding into the etiology of UGIB. Such as: Crest syndrome (form of systemic scleroderma associated with antibodies against centromeres that usually spares the kidneys), Dieulafoy’s lesion (submucosal caliber – persistent artery anomaly), Mallory-Weiss syndrome (tear, laceration of the mucous membrane at gastroesophageal junction or in the cardia of the stomach) [1, 6], rupture of aneurysm, aortoenteric fistula [1], anchylostomiasis (infestation by ancylostoma hookworms), small intestine ulcer, Crohn’s disease, ascariasis, rabies, benign tumor of the duodenum, rare conditions of the stomach (lymphoepithelioma, lymphoma of mucosa associated lymphoid tissue, fibrolipoma and inflammatory myofibroblastic tumor), pancreas disorders (solid pseudopapillary tumor of the pancreas (SPTP)), pseudo-cyst of the pancreas, pancreatitis, insulinoma, neuroendocrine tumors), Behcet’s disease (vasculitis), haemobilia [1]. The doctor’s concentration and focus in diagnosing of uncommon cases must be on a detailed history inquiry and thorough physical examination, even if not all sources of bleeding can be located by endoscopy, the rational combination with other imaging detection, such as ultrasonography, CT scan and angiography can help to achieve the diagnosis [3].
Our patient did not passed genetic testing and the diagnosis of Gronblad-Strandberg syndrome was made on the basis of pathognomonic ocular pathology. Pseudoxanthoma elasticum (PXE) is a rare genetic metabolic disease. Clinical prevalence is from 1/100000 to 1/25000 with slight female predominance. It is caused by a mutation of the ABCC6 gene (lack of functional ABCC6 transporter protein) on chromosome 16, inherited in an autosomal recessive pattern. PXE causing mutations were discovered only in 2000. This results in ectopic mineralization (calcification) of organism elastic fibers. Consequently, any organ containing elastic tissue can be affected. Skin lesions and eyes (small yellow papules, angioid streaks in the retina, retinal bleeding) are the most common sites. Correlation between retinal angioid streaks and skin leasions in PXE was published by Grönblad and by Strandberg in 1929, so PXE is known as Grönblad-Strandberg syndrome. Because calcified arteries (affected by the dystrophic calcium/phosphate mineralization of the internal elastic lamina of arteries) resulting in vascular complications including bleeding, hemorrhage from various organs and tissues is a reported complication of PXE, including the brain, nose, uterus and gums, but gastrointestinal bleeding is particularly common too (15% compared with 0,1% in the general population), followed by cerebral hemorrhage. PXE can be identified at any age. There is no widely confirmed international guidelines for diagnosis of PXE. If clinical findings (clinical presentation; skin biopsies, X-rays/ultrasound scans to estimate the level of mineral deposition in the tissues) are questionable, then patients are screened for ABCC6 mutations. There is no cure for PXE and treatment is symptomatic (vascular endothelial growth factor inhibitor therapy, lifestyle (contact sports, nonsteroidal anti-inflammatory drugs and antiplatelet agents must be avoided), lipid-lowering diet, vascular surgery) [4, 5].
Therapeutic endoscopy can control GIB in 90% of cases while angiography with embolisation is being reserved for endoscopicaly inaccessible lesions, failure to localize the lesion, LGIB (in colon or rectum when view is obscured by active bleeding or poor bowel preparation). Surgery is kept for failure of therapeutic endoscopic or angiographic interventions, distal gastrointestinal tract and must be guided by preoperative localisation (tattooing, clipping), but endoscopic haemostasis methods are preferred if rebleeding occurs [7].
Advances (improvements) in catheter-based techniques (hydrophilic steerable wires, microcatheters) and newer embolic agents (materials) (coils, microcoils, cyclooxygenase-2 inhibitors, resorbable gelatin sponge, nonresorbable polyvinyl alcohol, tris-acryl gelatin particles, N-butyl2-cyanoacrylate glue, ethylene-vinyl alcohol copolymer) and wider availability of skilled interventional radiologists over the past three decades, made transcatheter arterial embolization (TAE) the effective first-line therapy for the management (controlling) of acute nonvariceal UGIB that is refractory to endoscopic hemostasis (one or two attempts) with low complication rate and decreased mortality [1, 8]. Unlike lower gastrointestinal bleeding (LGIB), patients with UGIB undergone endoscopic treatment prior to angiography, embolotherapy or surgery. Sometimes lesions are difficult to identify endoscopically, because they often stop bleeding spontaneously or severe bleeding present. The vascular supply to the stomach and duodenum is rich making successful embolization more challenging, but decreases the incidence of ischemia after embolization. Even localization of the bleeding site (for example, the angiografic extravasation of contrast into the bowel lumen or false aneurysm-like) without determination of the cause helps to treat bleeding and save the life. When a dual supply of the bleeding area is suspected, both arterial sources need to be embolized to assure that all the inflow ceases. Transcatheter intervention to control gastrointestinal bleeding takes two forms: the infusion of a vasoconstricting medication (intra-arterial vasopressin infusion) and the mechanical occlusion of the arterial supply responsible for the hemorrhage. Because of the high rebleeding rate with infusion or injection endoscopic therapy, embolotherapy has supplanted surgery in most centers as the treatment of choice for endoscopy-refractory UGIB with high success rate. The role of TAE is to selectively reduce blood supply at the source of bleeding while maintaining enough collateral blood flow to maintain intestinal viability. In general, bleeding in the esophagus and fundus of the stomach is treated by embolization of the left gastric artery (LGA). Bleeding in the body and antrum of the stomach may be controlled by embolization of either the gastroepiploic, right gastric or gastroduodenal arteries depending on the source of bleeding. Provocative mesenteric angiography is the use of thrombolytic, vasodilating, and anticoagulation medications to elicit active bleeding from a source that may have recently ceased hemorrhaging. Researchers advocate the practice of prophylactic embolization on the basis of endoscopic findings (for example, endoscopically marked with a metallic clip), even blind or empiric embolization in angiographic situations of absence of contrast extravasation, for preventing rebleeding in high-risk cases. To date, there has been limited number of controlled trials comparing angiographic embolization to surgery as a salvage procedure for failed endoscopic therapy [1, 8].
Also, the trans-arterial embolization (TAE) of tumor-related gastrointestinal bleeding (GIB) or recurrent bleeding is symptomatic treatment with acceptable clinical success rate (67–83%) and plays vital role, because endoscopic management rarely eliminates tumor-related gastrointestinal bleeding or decrease overall mortality and surgery not always possible [8]. In addition, data and literature on transarterial embolization for tumor-related GI hemorrhage is limited or even lacking (no management algorithms, randomized controlled trials, guidelines for embolic materials). There is large variability of tumor pathology and embolization must be based on the tumor sites (the greater curvature – the right gastroepiploic artery; fundus – the left gastric artery; duodenum – the gastroduodenal artery) [6].
The collateral anatomy among vascular (feeding) branches from the celiac trunk or superior mesenteric artery varies widely in the pylorus-duodenum region. That’s why even embolization of the entire gastroduodenal artery (GDA) is frequently insufficient to stop the bleeding. To avoid “blind” embolization and enable guided transcatheter arterial embolization (TAE) of the correct selectively target vessel (branches) endoscopical marking ulcer (bleeding site/area) with a metallic clip can help even without extravasation of injected contrast medium [8, 9] during angiography minimizing the risk of recurrent bleeding [9]. But empiric or “blind” embolization is advocated in literature, because GIB has high rebleeding and mortality rates if untreated [8].
Fortunately, case reports exist in which lesions were diagnosed endoscopically and successfully managed by endoclip application and following interventional radiology (defines the full extent of the lesion; percutaneous transarterial coil embolization) without creating symptomatic ischemia as in our case [10].
However, from 10% to 30% patients have repeat bleeding despite endoscopic management, in 5% to 10% severe. The safety and efficacy of TAE for the treatment of refractory GIB to endoscopy is now widely certify. There are no absolute contraindications because angiography and TAE is lifesaving procedures, only limitation of angiography is the intermittent nature of bleeding, which can result in negative contrast injection result. In cases of GIB, angiography depends on the anatomy: left gastric artery supplies superior lesser curvature and cardiac region, right gastric artery supplies inferior lesser curvature, short gastric artery from splenic artery supplies superior greater curvature and the fundus, and gastroduodenal artery supplies remainder of the stomach and duodenum. The superior mesenteric artery may supply portions of the duodenum, mostly by pancreaticoduodenal anastomoses. Superior mesenteric artery supplies portions of the duodenum to transverse colon, and inferior mesenteric artery supplies the descending colon, sigmoid colon to superior portion of the rectum. Internal iliac artery middle and inferior rectal branches supplies the rest of the rectum [8].
In our clinical case, we did not correctly differentiate the cause of the bleeding at first and was concerned about a Dieulafoy’s lesion. Dieulafoy’s lesion, also termed “caliber persistent artery”, is rare (1–2% of acute GIB; difficult to determine its true incidence; under-recognized). Typically, present acutely as massive haemorrhage (life-threatening bleeding occurs in 10% of cases), which is often recurrent (9–40%), can take all form of GIB, described in all parts of the GI tract and in all age groups. There are diagnostic criteria for Dieulafoy’s lesion on endoscopy: active arterial spurting or micropulsatile streaming from a mucosal defect <3 mm or through normal surrounding mucosa; visualization of protruding vessel with or without bleeding, within a minute mucosal defect or through normal surrounding mucosa; the appearance of fresh, densely adherent clot with a narrow point of attachment to a minute mucosal defect or to normal appearing mucosa. There is no specific diagnostic criterion to diagnose a Dieulafoy’s lesion on angiography as typical features are variable, but the diagnosis is suggested on demonstration of a tortuous and ectactic artery. The findings include extravasion of contrast from what is seen as a normal looking blood vessel. The use of computed tomography (CT) angiography and technetium-99m labelled red blood cell scans have also been described in the literature to locate the source of bleeding that cannot be diagnosed by endoscopic methods. There is no consensus on the treatment of Dieulafoy’s lesions. It is strongly advised by ESGE (strong recommendation, moderate quality evidence) that endoscopic hemostasis for a Dieulafoy lesion must be achieved by thermal (or electrocoagulation, heat probe coagulation and argon plasma coagulation), mechanical (hemoclip or band ligation), or combination therapy (dilute epinephrine injection combined with contact thermal or mechanical therapy). The reported success rate is in excess of 90%. If endoscopic treatment is unsuccessful or not technically possible, transcatheter angiographic embolization (TAE) or surgery (laparoscopic wedge resection; oversewing; pre-operative localization of the lesion by tattooing with India ink and using clips) should be taken into consideration (strong recommendation, low quality evidence). Recent literature reported that the outcome of acute GI bleeding due to Dieulafoy’s lesion has more favorable outcome when compared to acute bleeding from gastric or duodenal ulcer [7, 11].
As we can see, managing active GIB is the diagnostical and therapeutical challenge. Endoscopists/clinicians are not routinely familiar with the recognition of these rare pathologies and no specific treatment has been established, but the serious nature makes necessary to include them in the differential diagnosis of any acute GIB [7].
The management tactics we chose in this clinical case of unusual cause of GIB were supported by the most recent literature. The patient underwent emergency endoscopy, during which we stopped the bleeding and stabilised the patient’s haemodynamics. To prevent recurrent bleeding in the future, we performed TAE. The clip placed during endoscopy helped the interventional radiologist select the correct vessel for embolization.
After 5 years period the patient is still alive and active despise wide and severe adjacent pathology without episodes of recurrent bleeding. Endoscopy continues to be the gold standard for diagnosis and treatment of GIB. When endoscopy is used to stop GIB, it is important for the clinician not to get lost if there is no visible cause of the bleeding. Keep in mind rare genetic disorders that may be the cause of the bleeding and evolve (initialize) diagnostic and management complex for patients benefit.
1. Loffroy R, Favelier S, Pottecher P, Estivalet L, Genson PY, Gehin S, Cercueil JP, Krausé D. Transcatheter arterial embolization for acute nonvariceal upper gastrointestinal bleeding: indications, techniques and outcomes. Diagn Interv Imaging 2015; 96(7–8): 731–744.
2. Kim BSM, Li BT, Engel A, Samra JS, Clarke S, Norton ID, Li AE. Diagnosis of gastrointestinal bleeding: a practical guide for clinicians. World J Gastrointest Pathophysiol 2014; 5(4): 467–478.
3. Zhang W, Manda E, Qiu M. Unusual causes of upper gastrointestinal bleeding: review of Chinese literature. Intractable Rare Dis Res 2012; 1(1): 18–22.
4. Lebwohl L, Phelps R. Association between pseudoxanthoma elasticum and bleeding. Skin J Cutan Med 2022; 6(1): 8–13.
5. Germain DP. Pseudoxanthoma elasticum. Orphanet J Rare Dis 2017; 12(1): 85.
6. Elmokadem AH, Abdelsalam H, El-Morsy A, Elsabbagh A. Trans-arterial embolization of malignant tumor-related gastrointestinal bleeding: technical and clinical efficacy. Egypt J Radiol Nucl Med 2019; 50(1): 45.
7. Baxter M, Aly EH. Dieulafoy’s lesion: current trends in diagnosis and management. Ann R Coll Surg Engl 2010; 92(7): 548–554.
8. Shin JH. Refractory gastrointestinal bleeding: role of angiographic intervention. Clin Endosc 2013; 46: 486–491.
9. Eriksson LG, Sundbom M, Gustavsson S, Nyman R. Endoscopic marking with a metallic clip facilitates transcatheter arterial embolization in upper peptic ulcer bleeding. J Vasc Interv Radiol 2006; 17(6): 959–964.
10. McCrary JB, Tang SJ, Wu R, Khangura S, Marks C, Dave B. Endoscopic and angiographic diagnosis and management of a gastric arteriovenous malformation. Video J Encycl GI Endosc 2014; 2(1): 15–19.
11. Gralnek IM, Dumonceau JM, Kuipers EJ, Lanas A, Sanders DS, Kurien M, Rotondano G, Hucl T, Ribeiro MD, Marmo R, Racz I, Arezzo A, Hoffmann RT, Lesur G, de Franchis R, Aabakken L, Veitch A, Radaelli F, Salgueiro P, Cardoso R, Maia L, Zullo A, Cipolletta L, Hassan C. Diagnosis and management of nonvariceal upper gastrointestinal hemorrhage: European Society of Gastrointestinal Endoscopy (ESGE) Guideline. Endoscopy 2015; 47(10): a1–46.