Neurologijos seminarai ISSN ISSN 1392-3064 / eISSN 2424-5917
2024, 28(99), pp. 70–78 DOI: https://doi.org/10.15388/NS.2024.28.99.1
Klinikiniai atvejai / Case Reports
Laura Regelskytė*
Faculty of Medicine, Vilnius University, Lithuania
Rūta Praninskienė
Clinic of Children’s Diseases, Institute of Clinical Medicine,
Faculty of Medicine, Vilnius University
Summary. Adrenoleukodystrophy is a rare genetic disease which causes adrenal gland insufficiency and damages the nervous system. It is inherited through the X chromosome in a recessive manner. Due to the ABCD1 gene mutation, there is a disorder of peroxisomes, thus very long-chain fatty acids are not degraded properly. There are 3 main forms of X-ALD: cerebral X-adrenoleukodystrophy, adrenomyeloneuropathy, and Addison’s disease. We present a case of a 7-year-3-month-old boy who was diagnosed with cerebral X-adrenoleukodystrophy. The patient was hospitalised because of episodic strabismus, hearing difficulty, gait abnormalities, and behavioural changes. His maternal grandmother had an unspecific demyelination. There were typical lesions of X-adrenoleukodystrophy in the patient’s magnetic resonance tomography imaging, whereas the Loes score was 15. Laboratory testing showed an elevated concentration of very long-chain fatty acids, and genetic testing confirmed the ABCD1 gene mutation. The patient’s disease was evaluated as advanced; therefore, allogeneic stem cell transplantation was not performed. The treatment consisted of Lorenzo oil, hormone therapy, and a low-fat diet. After summarising the literature, 6 main groups of symptoms are suggested: behavioural changes, hearing and visual impairment, neuromuscular system disorders, central nervous system impairment, nonspecific and other non-neurological symptoms. The best results of allogeneic stem cell transplantation were observed in patients with standard or very low risk. Autologous stem cell transplantation with gene therapy showed similar results as allogeneic stem cell transplantation. Vorinostat, rituximab, and intrathecal mesenchymal stem cell transplantation were described as unsuccessful treatment methods. The prevalence of X-ALD is estimated from 1:4,845 to 1:17,000, depending on the country. The most effective value of C26:0 Lyso-phosphatidylcholine concentration for newborn screening was 0.3-0.36 μmol/l.
Keywords: X-linked adrenoleukodystrophy, cerebral form, stem cell transplantation
Santrauka. Adrenoleukodistrofija yra reta, recesyvinė, su X chromosoma paveldima liga, sukelianti antinksčių nepakankamumą ir nervų sistemos pažeidimą. Dėl ABCD1 geno mutacijos peroksisomose sutrinka labai ilgos grandinės riebalų rūgščių skaidymas. Aprašomos trys ligos formos, iš kurių sunkiausia yra cerebrinė X adrenoleukodistrofija, dažniausiai išsivystanti 3–10 metų berniukams. Šiame straipsnyje aprašomas septynerių metų ir trijų mėnesių paciento cerebrinės X adrenoleukodistrofijos atvejis. Pacientas tirtas dėl epizodinio žvairumo, klausos ir eisenos sutrikimo, elgesio pasikeitimo. Paciento močiutė iš mamos pusės sirgo nenustatyta demielinizuojančia nervų sistemos liga. Pacientui atlikus magnetinio rezonanso tomografiją nustatyti X adrenoleukodistrofijai būdingi pakitimai galvos smegenyse, pagal Loes skalę 15 balų iš 34, kraujyje rasta padidėjusi labai ilgos grandinės riebalų rūgščių koncentracija. Genetiškai nustatyta ABCD1 geno mutacija. X adrenoleukodistrofija įvertinta kaip pažengusi, todėl pacientui netaikytas gydymas alogenine kraujodaros kamieninių ląstelių transplantacija ir skirtas palaikomasis gydymas Lorenzo aliejumi, pakaitine hormonų terapija bei dieta. Išnagrinėjus moksliniuose straipsniuose aprašytus X adrenoleukodistrofijos atvejus, šios ligos simptomai susisteminti į šešias pagrindines grupes: elgesio pokyčiai, jutimų sistemos sutrikimai, nervų-raumenų sistemos sutrikimai, centrinės nervų sistemos pažeidimo, nespecifiniai ir kiti, ne nervų sistemoje pasireiškiantys simptomai. Geriausi rezultatai pasiekiami alogeninę kraujodaros kamieninių ląstelių transplantaciją atlikus esant standartinei ir mažesnei rizikai. Panašus autologinės kraujodaros kamieninių ląstelių transplantacijos su genetiškai modifikuotomis paciento ląstelėmis efektyvumas. Vorinostatas, rituksimabas ir intratekalinė mezenchiminių kamieninių ląstelių transplantacija laikomi neveiksmingais X adrenoleukodistrofijos gydymo metodais. Šalyse, atliekančiose naujagimių patikros programą, ligos dažnis svyruoja nuo 1:4845 iki 1:17 000. Efektyviausia patikrai ribinė C26:0 lizofosfatidilcholino koncentracija siekia 0,3–0,36 μmol/l.
Raktažodžiai: X-adrenoleukodistrofija, cerebrinė forma, kraujodaros kamieninių ląstelių transplantacija.
_______
* Address: Laura Regelskyte, Savanorių 6A, Vilnius, LT-03116, Lithuania.
E-mail: regelskyte.laura@gmail.com, Mobile: +37063997209
Received: 02/05/2024. Accepted: 23/07/2024
Copyright © Laura Regelskytė, Rūta Praninskienė, 2024. Published by Vilnius University Press.This is an Open Access article distributed under the terms of the Creative Commons Attribution License, which permits unrestricted use, distribution, and reproduction in any medium, provided the original author and source are credited.
The main goals of this article were to summarise the symptoms of X-adrenoleukodystrophy (X-ALD), define diagnostic difficulties, and evaluate the efficiency of different treatment methods and newborn screening algorithms for the adaptation of the Lithuanian population. This article summarises the literature data for practical clinical application, to improve the survival of X-ALD and the quality of life for the individuals affected by X-ALD in Lithuania.
The search was performed on the Pubmed electronic database by applying the following filters: no more than 5 years old, and written in English. The keywords were: adrenoleukodystrophy, X-linked adrenoleukodystrophy, ALD, signs, symptoms, diagnostics, treatment, stem cell transplantation, cord blood transplantation, mesenchymal stem cells, management, and outcome. After reviewing the titles and abstracts of the articles, their relevance was identified. A total of 38 selected articles were fully read and categorised into groups: symptoms (15 articles), treatment (14 articles), and newborn screening (9 articles).
X-Adrenoleukodystrophy (X-ALD) is a rare genetic disorder inherited with the X-chromosome in a recessive manner, affecting the nervous system and causing adrenal insufficiency [1–3]. This disease is caused by a mutation in the ABCD1 gene that impairs the degradation of very long-chain fatty acids (VLCFA), resulting in their accumulation in nervous, adrenal, and testicular tissues, thereby impairing their function [3].
The main three forms of X-ALD include cerebral X-ALD, mostly affecting 3–10-year-old boys [4], adrenomyeloneuropathy, and Addison’s disease, both affecting men [5]. Women were considered carriers of the disease; however, recent data indicates an increasing recognition of symptoms in the affected women [5]. Cerebral X-ALD is the most severe form due to rapid and irreversible damage of the brain tissue.
The initial symptoms of the disease are heterogeneous and nonspecific, including the decline of the cognitive function, learning difficulties, and behavioural changes (Table 1). Diagnosis is typically established through typical lesions in magnetic resonance imaging (MRI), elevated concentration of VLCFA, and mutation in the ABCD1 gene [6–8]. Due to various symptoms, establishing a diagnosis of X-ALD is challenging, often leading to a year delay after the onset of the disease; thus, specific treatment is not performed [9–13]. All patients who do not undergo allogeneic hematopoietic stem cell transplantation (HSCT) face lethal outcomes within 7 years after the establishment of diagnosis [14].
Since 1990, allogeneic HSCT has been recognized as the primary treatment that stops the progression of X-ALD and neurological damage [14, 15]. The best treatment outcomes are achieved when transplantation is performed based on MRI examinations with lesions not exceeding 9 points on the Loes scale [16]. Upon repeated MRI, it has been observed that gadolinium enhancement resolves after 30 days for a third of the patients, and for nearly all patients within 100 days after the procedure [17]. Due to the prolonged search for donors and the risk of graft-versus-host disease (GvHD), autologous HSCT with gene therapy has come into practice [18]. For X-ALD patients with advanced disease, supportive treatment is administered for the stabilisation of the disease [19].
The incidence of X-ALD is about 1:20,000 [20, 21]; therefore, based on the Lithuanian birth rate [22], approximately one child with a mutation in the ABCD1 gene should be born each year. The most common algorithm for newborn screening of X-ALD consists of measuring the concentration of VLCFA twice, and, in the third step, a genetic test is performed [23–30]. The highest prognostic value had a concentration of VLCFA that is equal to or exceeds 0.3 μmol/l [23–30].
A 7-year-3-month-old boy was hospitalised due to changes in behaviour, episodic strabismus, hearing impairment, and gait difficulties. The parents reported noticing outbursts of anger, increased arguing, the patient was not responding when called from another room, later did not answer the questions and spoke about unrelated topics. The symptoms evolved over 2–3 months (Figure 1). Before the illness, the patient’s psychomotor development was within the normal range, the patient was born from a normal pregnancy and delivery. A family history examination revealed that the patient’s maternal grandmother has been examined for spastic paraparesis, suspected of a demyelination disease, however, the diagnosis was not established.
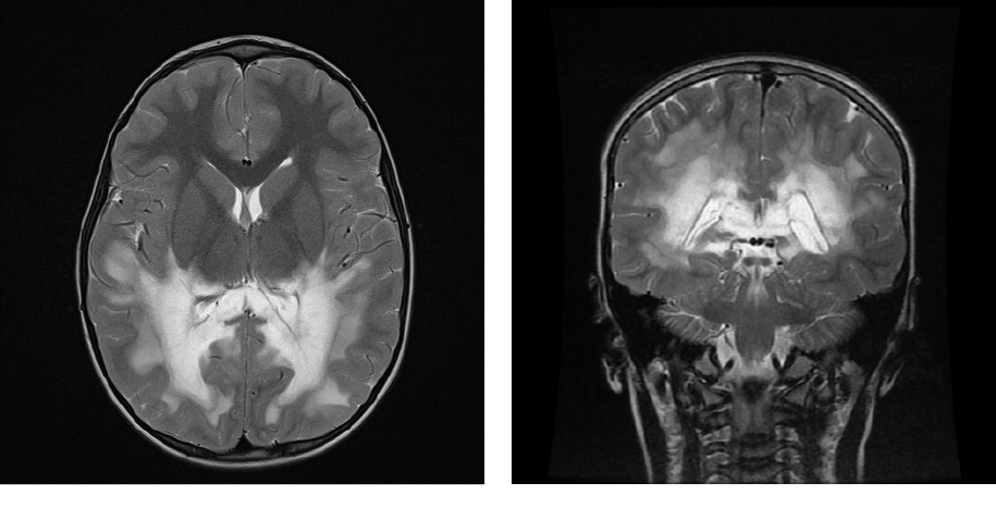
MRI with gadolinium contrast revealed white matter lesions suggestive of X-ALD, assessed as 16 of 34 on the Loes scale (Image 1). The electroencephalogram (EEG) revealed generalised epileptic activity without seizures. An unspecified impairment in learning was detected. The skin was darker in the areas of knees and fingers, and laboratory tests confirmed primary adrenal insufficiency (cortisol 90.82 nmol/l; cf. normal range: 177–578 nmol/l, renin 23.3 ng/ml; cf. normal range: 1.6–14.7 ng/ml, ACTH 194.6 pmol/l; cf. normal range: < 14.15 pmol/l).

Biochemical tests showed an elevated concentration of VLCFA, with levels of C26:0 at 2.9 nmol/ml (normal range: 0.2–1.6), C26:0 and C22:0 ratio 0.077, (normal range: 0.005–0.029), C24:0 and C22:0 ratio 1.84 (normal range: 0.55–1.05). A hemizygous, potentially pathogenic mutation in the ABCD1 gene was confirmed.
Based on MRI images that showed lesions of >9 points on the Loes score, and, considering neurological impairment as 7 out of 25 on the neurologic function scale, it has been determined that the patient’s X-ALD stage was advanced. The consensus during the medical consultation was to not initiate treatment with allogeneic HSCT because the procedure could worsen the neurological impairment and significantly impact the patient’s quality of life. If allogeneic HSCT is performed, it would cause a prolonged hospitalisation period and a high likelihood of complications, such as central blindness and deafness, impairment of perception and mobility, and the development of GvHD.
Supportive treatment was prescribed with fludrocortisone (dose: 0.1 mg once a day), hydrocortisone (dose: 13.9 mg/m2/day), Lorenzo’s oil (dose: 42 ml per day, 3–4 doses to be taken), acetylcysteine (dose: 900 mg/day, to equivalent 39.1 mg/kg/day), vitamin D3 (dose: 2000 IU/day), along with a low-fat diet. The prognosis indicates further development of neurological deficit, and the patient’s outcome is expected to be fatal. The progression of the patient’s illness during the follow-up is presented in Figure 1.

MRI – magnetic resonance imaging, EEG – electroencephalography, NFS – neurological functional scale
X-ALD case reports available in the PubMed database were examined to compare this clinical case. The research revealed that the first symptoms typically manifest for boys at around 7.64 years (standard deviation ± 2.64 years). The symptoms were categorised into six main groups: behavioural changes, sensory system disorders, neuromuscular system disorders, central nervous system (CNS) impairment, nonspecific, and other symptoms not related to the nervous system. The variety and frequency of the symptoms are presented in Table 1. It is noteworthy that seizures occur in an advanced stage of X-ALD; therefore, despite their frequency, this symptom is not suitable for early diagnosis. Among metabolic disorders causing primary adrenal insufficiency (PAI), X-ALD is the second most common reason [31].
Therefore, when suspecting that PAI has metabolic causes, it is recommended to test patients for X-ALD to timely initiate pathogenetic treatment. In the presented clinical case, the course of the disease matched the typical progression of cerebral X-ALD, as the patient initially had behavioural changes, followed by episodic strabismus, hearing impairment, gait disorders, and skin hyperpigmentation. A diagnosis also was established 1 year after the onset of the disease.

The correlation between lesions in MRI, survival rates, and outcomes after allogeneic HSCT were investigated. There is increasing data that parieto-occipital involvement is associated with a better prognosis than frontal or other zone involvement [34]. The involvement of the internal capsule does not impact the survival of patients with cerebral X-ALD, unlike adults, but it may influence the severity of neurological impairment [35]. Although this clinical case aligns with the criteria for a better prognosis, the latter remains unfavourable because of advanced X-ALD and the absence of allogeneic transplantation.
Allogeneic HSCT is the primary and specific early treatment method for X-ALD, slowing down the demyelination progress [14, 15, 31]. The results of 2 and 5-year survival after the procedure are presented in Table 2. Neurological function was better among low-risk (Loes score 0–4.5) patients in comparison to standard-risk patients (Loes score 4.5–9) patients: low-risk patients’ neurocognitive abilities almost reached the normal range, whereas standard-risk patients’ group showed results which were 1 standard deviation lower than the norm [37]. Therefore, early undergoing allogeneic HSCT is related to the preservation of the neurological function and a better quality of life.
During the follow-up, 56 percent of the patients who had a Loes score of <9 and underwent allogeneic HSCT and 48 percent of patients with supportive treatment had no progression of X-ALD for 2 years after the beginning of the treatment [19]. Other studies have shown that, during 5 years of follow-up, 61.1 percent of patients after allogeneic HCST show no progression of X-ALD [35]. In some cases, allogeneic HSCT was performed when the MRI Loes score was >9. It resulted in X-ALD stabilisation; however, the NFS score was higher than the limit and exceeded 1 point [13, 34, 47]. The gadolinium enhancement was present for some patients with supportive treatment, 2-year survival without disease progression in this group reached 29 percent [19]. Therefore, the stabilisation of X-ALD can be achieved either by allogeneic HSCT or supportive treatment. However, deterioration of the neurological function is plausible, and it progresses faster for patients who had supportive treatment, a gadolinium enhancement on MRI, or a Loes score of >9.

The new treatment methods were investigated. The autologous HSCT and gene therapy for X-ALD patients with standard risk is considered successful and equivalent to allogeneic HSCT in terms of the overall survival and time without disease progression [36]. Vorinostat, rituximab, and intrathecal mesenchymal stem cell transplantation (MSCT) were applied as experimental treatment methods for advanced disease. The positive effect of vorinostat on the blood-brain barrier disappeared after discontinuation of the drug, and relapse of lesions reoccurred; therefore, this treatment was evaluated as ineffective [48]. Rituximab and intrathecal MSCT were also described as ineffective methods for X-ALD [9, 10].
Early diagnosis of cerebral X-ALD would be enabled by the incorporation of VLCFA testing into newborn screening. Based on demographic data, over 23,000 newborns are born in Lithuania annually [22]. The frequency of X-ALD is approximately 1:20,000, although countries performing newborn screening have reported a higher prevalence ranging from 1:4,845 to 1:17,000 [27, 30]. Therefore, it is likely that at least one child with the ABCD1 gene mutation is born in Lithuania each year, and can potentially develop or transmit X-ALD. In the diagnosis of X-ALD, the borderline value of C26:0, ranging from 0.3 to 0.36 μmol/l, had a positive predictive value of 53.8–100% [23, 24, 27, 28]. In the final screening stage, the determination of the ABCD1 gene mutation is necessary, allowing differentiation between X-ALD and other peroxisomal disorders [8].
In the absence of screening algorithms, X-ALD should be suspected in boys with normal psychomotor development and aged 3–10 years who suddenly experience behavioural changes, cognitive impairment, visual and auditory disturbances, and skin hyperpigmentation. The inclusion of very long-chain fatty acid concentration testing in newborn screening would aid in the early detection of X-ALD. This would prevent rapid disease progression and allow for timely implementation of specific treatment through allogeneic hematopoietic stem cell transplantation. This could protect patients from the development of severe neurological deficits, give a full recovery from X-ALD, and obviate a lethal outcome in early childhood.